Logo zariadenia Centrum pre Neurooftalmológiu - Doc. MUDr. Jozef Čmelo , PhD, MPH.
  • Adresa: Škultétyho 1 - 83103, Nové Mesto (Bratislava) - Bratislava
    (Dom techniky), poschodie: 1, dvere: 116, MHD: Električka: 4; 9. Autobus: 39; 51; 53; 61; 63; 68; 74; 78; 151; 163. Trolejbus: 49; 64; 71;
  • Telefón: +421 2 5413 1372
    Očná ambulancia (Centrum neurooftalmológie)

  • E-mail: palas.eye@gmail.com
    Očná ambulancia (Centrum neurooftalmológie)
  • Web: http://www.oko.zzz.sk
  • Aktualizované: 04.06.2025 o 12:00
  • (9)

Otváracie hodiny

  • Pondelok


    Konzília: 8,00-11,00
  • Utorok


    Konzília: 8,00-9,00, 13,00-15,30
  • Streda


    Konzília: 8,00-9,00, 13,00-15,30
  • Štvrtok


    Konzília: 8,00-9,00, 13,00-15,30
  • Piatok


    Konzília: 8,00-9,00, 13,00-15,30
  • Objednanie na vyšetrenia: Po-Štvr: 9,00 - 13,00 hod.
  • O zariadení

Popis zariadenia


Ďalší odborný personál:

  • Asistent lekára
  • Zdravotná sestra

CENTRUM PRE NEURO - OFTALMOLÓGIU:

 OČNÁ AMBULANCIA (kliknite na odkaz, ktorý Vás zaujíma)  

ZAUJÍMAVOSTI

OČNÉ NEURO-OFTALMOLOGICKÉ PRACOVISKO:

Kde nás nájdete
• Bratislava – Škultétyho 1 (Trnavské mýto - Dom techniky. Medzi budovou Radošínskeho naivného divadla a predajňou LIDL, tiež z druhej strany budovy Istropolis na Trnavskom mýte, alebo oproti OC CENTRÁL na Trnavskom mýte).

Doprava 
Zastávky MHD na Trnavskom mýte:

  • Električka: 2, 4, 8, 9;
  • Autobus: 31, 39, 51, 53, 61, 63, 64, 68, 74, 78;
  • Trolejbus: 201, 204, 209.

 

Parkovanie  
• Parkovisko predajne LIDL.

• Okolité voľné parkovacie miesta.

Objednávanie  
• Cieľom našej práce je okrem erudovaného prístupu zabezpečiť pre Vás komfort a pocit spokojnosti. Preto je nevyhnutné zabezpečiť dostatok času na vyšetrenie a následnú konzultáciu Vašich očných zdravotných obtiaží. Každý pacient je objednaný na konkrétny termín. Pre objednanie volajte prosím na telefónne číslo:  02 / 541 313 72 od pondelka do štvrtka medzi 09,30-12,30 hodinou. Ak sa potrebujete preobjednať, volajte prosím na uvedené čísla, eventuálne zanechajte odkaz na odkazovači.

• Pred objednávaním telefonicky ako aj pred vyšetrením si pripravte prosím žiadanku od odosielajúceho lekára.

 

späť na začiatok

Priebeh vyšetrenia

• Vyšetrenia sú nebolestivé a neinvazívne.

• Pokiaľ to nie je nevyhnutné, potrebné vyšetrenia sú realizované šošovkou bez mydriázy - rozkvapkania. Ak je potrebné rozkvapkanie, dopredu Vás na to upozorníme. Mydriáza po nakvapkaní pretrváva cca 2 hodiny.

• Po absolvovaní vyšetrení bude pre Vás a Vášho lekára vypracovaná komplexná medicínska správa s návrhom liečby.

Ako si správne kvapkať
• Pre úspešnú oftalmologickú liečbu je potrebná nielen adekvátna lokálna terapia ale aj správne kvapkanie. Kvapky zásadne aplikujeme do vonkajšieho kútika oka.

• Ak užívate viac druhov očných kvapiek, po nakvapkaní prvých kvapiek je potrebné počkať aspoň 5 minút, kým dôjde k aplikácii druhých kvapiek.

• Ak máte doporučené očné kvapky vo forme suspenzie, pred aplikáciou do spojovkového vaku – do vonkajšieho kútika oka je potrebné s fľaštičkou potriasť.

Možnosti vyšetrenia
• Základné očné vyšetrenie (len ako súčasť ostatných vyšetrení)

• Neurooftalmologické vyšetrenie:

  • Endokrinná orbitopatia (ochorenie očí pri poruche štítnej žľazy)
  • Diplopia (dvojité videnie ) + Aplikácia botulotoxínu v medicínskych indikáciách
  • Poruchy videnia – prechodné poruchy videnia, vypadávanie videnia, neurogénne a cievne podmienené poruchy videnia
  • Poruchy zrenice - veľkosť, reakcie, spomalená akomodácia, potreba častej zmeny okuliarovej korekcie
  • Nystagmus (vôľou neovplyvniteľné pohyby očí)
  • Blefarospazmus - nadmerné zvieranie, zášklby mihalníc), tíky
  • Poškodenie zraku po cievnej mozgovej príhode, po operácii mozgu, po úraze
  • Zmeny na terči zrakového nervu - edém, zmeny tvaru, alebo exkavácie terča zrakového nervu
  • Komplexná digitálna fotodokumentácia – digitálna stereofotografia
  • Glaukóm – zelený zákal
  • Bolesti oka – očí, Sclerosis multiplex

• Glaukómové vyšetrenie: pri podozrení na poškodenie oka zo zeleného zákalu – glaukómu

• Žltá škvrna – makula: pri poškodení žltej škvrny – makula – makulopatia (Fotogaléria)

• Očný dyskomfort: svrbenie, pálenie, slzenie očí

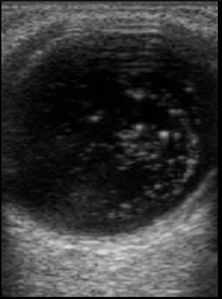
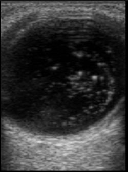
• Ultrazvukové vyšetrenie  – ultrasonografia oka a očnice umožňuje presne hodnotiť zmeny v oku ako aj za okom v očnici pri rôznych očných problémoch – zápaly, nádory, úrazové poškodenia oka, porucha prekrvenia oka  - zelený zákal (glaukóm), infarkt oka a rôzne ischemické poškodenia oka, poškodenie oka pri poruche štítnej žľazy, poškodenie očnicových svalov, atď. Existuje niekoľko možností ultrazvukového vyšetrenia – všetky sú v neurooftalmologickej ambulancii dostupné:

  • B-scan ultrazvuk: 2-rozmerné zobrazenie vyšetrovanej časti oka
  • 3D scan: 3- rozmerné vyšetrenie vyšetrovanej časti oka  (Fotogaléria)
  • CFM (color flow imaging): špecializované vyšetrenie prúdenia krvi v oku a za okom – (Fotogaléria)

• Vyšetrenie zorného poľa - zorné pole je oblasť videnia. Vyšetrenie zorného poľa umožňuje vyšetrovacia technika - perimetria:

  • Perimetria kinetická
  • Perimetria statická

• Aplikácia botulotoxínu v medicínskych indikáciách:(Fotogaléria)

  • Blefarospazmus - nadmerné zvieranie, zášklby mihalníc, tiky – zášklby mihalníc
  • Keratopathia a lagophthalmo – neschopnosť zavrieť oči mihalnicami po úrazovom poškodení, po operáciách alebo nádoroch mozgu, po zápalovom poškodení nervov a svalov zodpovedných za fyziologický uzáver očnej štrbiny. Nahrádza operačné dočasné zošitie očnej štrbiny
  • Strabizmus paralytický – škúlenie po úraze, zápaloch, pri poškodení štítnej žľazy
  • Entropium dolnej mihalnice: prehnutie dolnej mihalnice dovnútra
  • Nystagmus: vôľou neovplyvniteľné pohyby očí.

• Fotodokumentácia oka, Dermatoskop - mikrofotodokumentácia útvarov na koži mihalníc  a spojovke oka (Fotogaléria)

  • Mikroskopická fotodokumentácia je spoľahlivá dokumentácia
  • Nie je rečová bariéra – v prípade konzultácie v zahraničí
  • Jednoduchá archivácia – CD nosič
  • Umožňuje presnú diagnostiku, kedže nález je zobrazovaný mikroskopicky s vysokým rozlíšením

 Späť na začiatok

ZAUJÍMAVOSTI:

Oči, slnko a slnečné okuliare
Oči a počítač
Oči a očné cvičenie
Oči, syndróm suchého oka, suché oko (Fotogaléria)

Prvá pomoc pri niektorých očných chorobáchI.
Oči, štítna žľaza a endokrinná orbitopatia (Fotogaléria)
Oči, botulotoxín a jeho aplikácia v medicínskych indikáciach (Fotogaléria)
Oči a šport
Prechodné zahmlievanie – výpady videnia (Fotogaléria)
Oči, dvojité videnie, diplopia
Oči, poškodenie žltej škvrny, makulopatia
Oči a glaukóm (zelený zákal) (Fotogaléria)

Oko, slnko a slnečné okuliare

Slnečné žiarenie a poškodenie oka
Slnečné žiarenie dopadajúce na našu zem sa skladá z troch základných druhov žiarení. V rozsahu od 100 do 380 nm je ultrafialové žiarenie (UV), od 380 do 780 nm - viditeľné svetelné žiarenie (VŽ), a od 780 nm do 1mm infračervené žiarenie (IR). Všetky tieto typy žiarenia môžu za určitých okolností poškodzovať oči.

Nadmerné pôsobenie UV žiarenia spôsobuje popálenie kože, mihalníc, zápal rohovky, spojovky - tzv. Ophthalmia photoelectrica, resp nivalis. Tento zápal sa prejavuje bolesťou v očiach, slzením, úpornou svetloplachosťou až nemožnosťou otvoriť oči. V tomto prípade je potrebné aplikovať tzv. umelé slzy v kvapkách, eventuálne pri väčšom rozsahu vzhľadom prostrediu očný lekár zváži potrebu aplikácie lokálnej antibiotickej liečby. Ak sa nepridruží sekundárna infekcia, hojí sa ad integrum ( t.j. bez akýchkoľvek následkov )  behom 1-3 dní. Vhodné je vyšetrenie a ošetrenie u očného lekára. Závažnejšia je absorbcia UV žiarenia v ľudskej šošovke, ktorá tvorí akúsi bariéru proti prenikaniu UV žiarenia na sietnicu. Tým že sa UV žiarenie absorbuje v šošovke, sa síce zabráni poškodeniu sietnice,ale zároveň nahromadené žiarenie v šošovke spôsobuje jej postupné skaľovanie - kataraktu. Dlhodobá expozícia UV žiarenia bez ochrany proti tomuto žiareniu môže byť spojená so vznikom nebezpečného ochorenia centrálnej časti sietnice – tzv. degenerácie makuly. Pri vzniku a priebehu tohto obtiažne liečiteľného ochorenia pacient neoslepne, ale postupne stráca schopnosť čítať, vidieť drobné detaily, aj keď sa použije akákoľvek okuliarová korekcia.

Zo spektra viditeľného svetelného žiarenia je nebezpečné fotochemické poškodenie sietnice modrou zložkou. Infračervené žiarenie môže poškodzovať oko jednak fotochemicky - vznikom katarakty - tzv. sklárska katarakta, a termicky - popálením sietnice a cievovky oka. Napríklad pri pozeraní bez ochranných okuliarov do slnka pri jeho zatmení. Vtedy vzniká tzv. Retinitis solaris.

Samotné riziko poškodenia oka môže byť potencované niektorými rizikovými faktormi:

  1. Používaním fotosenzitívnych látok - liekov, ktoré znásobujú účinok UV žiarenia. Napríklad niektoré lieky pri liečbe pakostnice, psoriázy pri súčasnom UV ožarovaní, alebo opaľovaní sa.
  2. Prolongovaná expozícia na slnku- opaľovanie, práca na slnku pri výraznom slnečnom žiarení
  3. Pacienti po operácii šošovky. Týka sa to pacientov s extrahovanou šošovkou, či už bez implantovanej umelej šošovky, alebo aj s implantovanou šošovkou s UV filtra - vzhľadom na to, že títo ľudia už nemajú prirodzenú ochranu -ich naturálnu šošovku, môže prenikať UV žiarenie k sietnici a poškodzovať ju. U ľudí po operácii šošovky, bez implantovanej umelej vnútroočnej šošovky, sa môžeme stretnúť so subjektívne udávaným pocitom namodravého až fialového videnia. Tento fenomén je spôsobený zvýšeným prienikom modrého svetla na sietnicu, ktoré sa pred operáciou absorbovalo v ľudskej šošovke. Neskôr tieto subjektívne obtiaže pominú vplyvom adaptácie oka. U ľudí po operácii šošovky s implantovanou umelou vnútoročnou šošovkou, sa môžeme stretnúť s subjektívnym červeným videním tzv. erytropsiou, zvlášť pri prechode zo svetlého do tmavého prostredia. Môže to byť spôsobené lomom svetla cez umelú šošovku, ale môže to byť i dôsledok predchádzajúceho poškodenia centrálnej časti sietnice s trvalými následkami.

Aké by mali byť slnečné okuliare - mali by zakrývať celé oko...?
Za bežných klimatických podmienok sa nemusíme obávať poškodenia oka zo slnečného žiarenia. Pri výraznej expozícii slenčného žiarenia je ochrana očí už potrebná - nosením slnečných okuliarov (SO).

Pri doporučení slnečných okuliarov od lekára je potrebné brať do úvahy niekoľko faktorov, ktorých cieľom je:

  1. Redukovať slnečné nadbytočné žiarenie pre optimum vizuálneho komfortu.
  2.  Eliminovať optické spektrum nepotrebné pre videnie a ktoré je rizikom poškodenia oka.
  3. Zabezpečiť optimálnu adaptáciu na tmu.
  4. Zabezpečiť normálne farebné videnie - signálne farby na semafóroch musia byť dostatočne vnímané.
  5. Minimálna starostlivosť a zvýšená rezistencia proti poškodeniu SO.

V súčasnej dobe výber SO je do značnej miery ovplyvnený módou. Pri výbere SO je však potrebné brať do úvahy 3 zásady.
A/  Všeobecné zásady:

  • Slnečné okuliare by mali by pohodlne „sedieť“ na nose a netlačiť za ušami.
  •  Dôležitá je šírka bočného rámu SO. Na jednej strane široký bočný rám výhodne blokuje slnečné žiarenie, na druhej strane, napríklad u šoférov, môže značne obmedzovať zorné pole.
  • V zásade si môžeme vybrať SO so sklenenými, alebo plastickými šošovkami. Pojem šošovka označuje optický materiál v okuliarovom ráme,  všeobecne nazývaný ako „sklá“. Sklenené šošovky sú ťažšie, ľahšie sa rozbijú, ale sú viac odolné proti poškrábaniu a blokujú i infračervené žiarenie. Plastické šošovky sú oproti tomu ľahšie, viac odolné voči rozbitiu, ale väčšinou nevychytávajú infračervené žiarenie a skôr sa poškrábu.
  • Pri výbere SO pre deti by mali byť SO označené vinnetou „impact rezistent“ - odolné proti nárazu.
  •  Tónovanie šošoviek by malo byť absolútne totožné pred obidvomi očami.
  • Zakrivenie a hrúbka šošoviek by mala byť rovnomerná a rovnaká na pravej i ľavej strane. Je to veľmi dôležité obzvlášť pre deti. Na to si môžeme urobiť jednoduchý test. Postavíme sa pod fluoresceínové, alebo neónové svetlo napríklad v obchode. Okuliare chytíme do ruky a pozoruje odrazené fialové svetlo. Potom pomaly kýveme okuliarmi do bokova pozorujeme ako sa mení odrazený lúč. Ak je rovný ide o bezchybné okuliare.
  •  Dôležitý je i farebný filter na SO.
  • Všetky SO by mali mať filter na UV žiarenie.
  •  Pri výbere z ponuky módnych typov slnečných okuliarov treba zvážiť aj na aký účel ich kupujeme. Ak ich používa častý návštevník hôr, nemali by im chýbať bočnice, ktoré odrážajú všetky nepriame lúče dopadajúce v šikmých uhloch.
  • Tvar okuliarov by mal zodpovedať aj veľkosti a zakriveniu tváre. Príliš malá vzdialenosť medzi očami a sklami môže kumulovať infračervené žiarenie, ktoré potom spôsouje prehriate okolie očí.

B/ Je treba si uvedomiť na aký účel potrebujeme SO - či na bežné nosenie, alebo ako nevyhnutnosť zo zdravotného, resp. pracovného hľadiska, alebo len ako módny doplnok. Taktiež v akom prostredí budeme SO používať - či s relatívne nižšou intenzitou slnečného žiarenia, alebo s vysokou intenzitou - pri mori, vysoko v horách a pod. Na ilustráciu čerstvý sneh odráža 60-80%, piesok na pláži 15%, voda 5% slnečného žiarenia. Ideálne zafarbenie SO by malo byť približne také, že ak sa pozreme v danom prostredí do zrkadla, nemali by sme v ňom vidieť svoje oči.

C/  Pri výbere SO je potrebné brať do úvahy i náš zdravotný stav.

  • Ľudia s nedostatočnou pigmentáciou( albinizmus) by mali mať aspoň dvoje SO.Jedny na bežné používanie na slnečný deň, najlepšie s graduovaným tónovaním( hore tmavé, dole bledé, alebo bezfarebné),  a druhé polarodiné rovnako tónované s vysokou absorbciou pri podmienkach zvýšeného slenčného žiarenia.
  • Pacienti s glaukomom (zelený zákal) by sa mali vyvarovať používaniu oranžovo-červených filtrov, a používať hnedo-želené filtre, alebo Neutral Gray filtre.
  • Pre pacientov s chronickou konjuktivitídou sú najvhodnejšie graduované SO.
  • Pacienti po operácii - extrakcii šošovky by mali nosiť pri zvýšenom slnečnom žiarení SO s kompletnou absorbciou UV a IR žiarenia.

späť na začiatok

Aký filter je vhodný pre slnečné okuliare?
V dnešnej dobe je aktuálne predpisovanie skiel s filtráciou krátkovlnej zložky viditeľného spektra- hlavne na modrú farbu. Vychádza sa z predpokladu, že táto vlnová dĺžka je najrizikovejšia z vlnových dĺžok viditeľného spektra pre pacientov s kataraktou, afakiou, makulopatiou, diabetickou retinopatiou, keratopatiou, glaukomom, atrofiou zrakového nervu, aniridiou a albinizmom.
Filtre nezhoršujú zrakovú ostrosť, stereopsiu – priestorové videnie, ale niektoré typy filtrov môžu narúšať farbocit, čo môže mať neblahý vplyv v doprave hlavne u ľudí s poruchou farbocitu na červeno-zelenú farbu. Najmä ľudia s poruchou farbocitu by si mali dať vyšetriť zrak a poradiť sa s očným lekárom, alebo erudovaným optikom o vhodnosti zafarbenia slnečných okuliarov.
Z hľadiska ochrany oka pred slnečným žiarením sa používajú obyčajne 4 druhy filtrov:

  • Absorbujúce filtre - prepúšťajú a filtrujú optické spektrum podľa farby šošovky. Červená šošovka prepúšťa maximálne v červenej oblasti a maximálne absorbuje v modrej oblasti. Zelené prepúšťa maximálne v zelenej oblasti, absorbuje maximálne v modrej a červenej oblasti. Niektoré do zelena sfarbené šošovky poskytujú ochranu UV a čiastočne absorbujú IR žiarenie ale majú obyčajne šitoké pásmo transmisie -prepúšťania svetla. Žlté šošovky eliminujú všetko modré svetlo, ale prepúšťajú dlhovlnné žiarenie. Modro-zelené šošovky absorbujú IR, ale vzhľadom k tomu, že sekundárne emitujú a umiestňujú IR do oka, musia mať slnečné okuliare v prostredí so zvýšeným množstvom  infračerveného svetla aj inú optickú ochranu. Všeobecne sa odporúča sivozelený filter – G15, ktorý najmenej skresľuje farby. Obrázok stmavne a odfiltruje 75 až 85 percent prebytočného svetla.
  • Neutral filtre - absrbujú väčšinou rovnomerne viditeľné spektrum a zdajú sa sivé vo farbe. Neutrálne plochy sa robia z oftalmického skla, obyčajne prepúšťajú obidve UV a IR žiarenie. Neutral Gray robené z plastu tiež prepúšťajú UV a IR. Sú vhodné na zachovanie farbocitu, lebo rovnomerne absorbujú viditeľné spektrum (UV, IR v 20-30%)
  • Polarizujúce filtre - selektívne blokujú určité slnečné žiarenie, ktoré spôsobuje oslnenie. Žiarenie emitované zo slnka vibruje vo všetkých smeroch okrem dopredu a dozadu v smere šírenia. Keď je svetlo polarizované, všetky vibrácie sú blokované, okrem tých, ktoré undulujú v jednoduchom smere - vertikálne a horizontálne. Svetlo môže byť i parciálne polarizované. Fyziologicky je to napríklad keď sa slnečné žiarenie odráža od veľkých odrazových plôch - rieka, sneh, jazero, cesta atď. Vtedy odrazené svetlo vibruje len v horizontálnom a vertikálnom smere. Najviac oslnenia spôsobuje vibrovanie v horizontálnom smere. Polarizované šošovky selektívne blokujú oslňujúce horizontálne vlnenie a prepúšťajú prevážne vertikálne vibrujúce žiarenie. Preto výrazne znižujú oslnenie a sú vhodné najmä pri vodných plochách, na ceste atď. Polarizačný filter je fólia z plastu, ktorá obsahuje pretiahnuté makromolekuly. Pri výrobe filtra sa natiahnutím fólie makromolekuly paralelne usporiadajú a tak sa získa polarizačný efekt.
  • Reflektujúce filtre -  sú robené nanášaním vákuovým depozitom kovového náteru na sklo, alebo plastickú hmotu. Používajú sa rôzne nátery: Kovový náter proti poškrábaniu, ACR - antireflexná vrstva - redukuje nechcené reflexy zo šošovkového povrchu a zvyšuje priepustnosť viditeľného žiarenia,  SCR - náter odolný voči poškrábaniu, Interferenčný filter, a Kontrolný filter na žiarenie.

Najdokonalejšie, aj keď finančne náročné, sú fotochromatické sklá, ktoré reagujú na ostrosť svetla a menia farebnosť pri prechode do tmavšieho alebo, opačne, slnkom ožiareného prostredia.

Výber slnečných okuliarov mimo bežných klimatických a svetelných podmienok
Čo sa týka požívania slnečných okuliarov večer, v noci, výskumy ukazujú, že akékoľvek  slnečné okuliare zhoršujú nočné videnie. Značné nádeje boli očakávané v žlto sfarbených sklách. Tieto šošovky sú požadované poľovníkmi, horolezcami, lyžiarmi, arktickými výskumníkmi, pilotami. Experimentálne skúšky preukázali, že tieto sklá nezlepšujú ani zrakovú ostrosť, kontrastnú citlivosť, alebo stereopsiu. Čím sú teda nápomocné? V prírode sú krátke vlnové dĺžky sú rozptyľované v hmle a v atmosferickej vlhkosti. Tým stúpa kontrast  pre dlhovlnné objekty oproti krátkovlnnému pozadiu. Predpokladá sa že absorbcia krátkovlnného spektra žltými filtrami zvyšuje kontrast a zdanlivý jas. Preto sú žlté filtre vhodné pre podmienky do hmly a za zhoršených vizuálnych podmienok, napríklad hustý dážď, ale rozhodne nie do tmy. Okrem toho slnečné žiarenie výrazne zhoršuje adaptáciu sietnice na tmu. Preto ľudia, u ktorých sú nároky na nočné videnie, by mali nosiť cez deň SO s priepustnosťou menej než 20%, ak boli vystavení slnečnému žiareniu 2 hod. a viac.

Pri športovaní, turistike je vhodný výbet slnečných okuiarov aj podľa stupňa ochrany pre ultrafialovým žiarením a tým aj percento priepustnosti svetla. Je päť stupňovi: 4. stupeň: prepúšťa len 3-8% slnečného žiarenia – je vhodná na vysokohorskú turistiku, skiaplinizmus, dlhodobý pobyt na mori a podobne. 3. stupeň: prepúšťa 8-18% svetla, 2. stupeň: 18-43%, 1.stupeň: 43-80% slnečného žiarenia a 0. stupeň prepúšťa až 80-100% slnečného žiarenia a neslúži ako skutočné slnečné okuliare, ale len v rámci „imidžu“.

Slnečné okuliare – šošovky, cez ktoré pozeráme, môžu byť v zásade plastové, z minerálneho skla, s trvalým zafarbením, alebo fotochromatické , ktoré menia zafarbenie podľa intenzity slnečného žiarenia. Pre šoférovanie sú vhodné závesné predvesy na okuliarový rám s UV filtrom, najlepšie polaroidné, ktoré môžu slúžiť ako náhrada za finančne náročné kvalitné slnečné okuliare u ľudí s nutnosťou dioptických skiel, dioptrické SO, ktoré sú cenovo neúmerne drahšie, než bežné plastové SO bez dioptrii.

Záverom treba upozorniť na neopodstatnenosť názoru, že pri nosení tmavých SO sa paradoxne poškodzujú oči, vplyvom rozšírenej zrenice pod tmavými sklami. Pokiaľ má človek správne tónované SO s UV filtrom, s dostatočne veľkou plochou  okuliarovej šošovky, nedochádza k dilatácii zrenice a k nadmernému prieniku UV žiarenia do oka. Maximálne sa môže zrenica rozšíriť i pri tých najtmavších okuliaroch iba o 1mm, ale nezväčšuje prienik UV žiarenia do oka.

Slnečné okuliare ak nosíme dioptrické okuliare
Je niekoľko možností ako skombinovať dioptrie a kvalitné slnečné okuliare. Sú to buď dioptrické slnečné šošovky v slnečnom ráme, čo je najlepšia možnosť, ale je podmienená klasickými okuliarmi v batohu a býva väčšinou nákladná, a nie do každého rámu sa dá aplikovať. Alebo môžeme skombinovať klasické slnečné okuliare s kontaktnými šošovkami. Ďalšia možnosť je vkladací dioptrický clip do slnečných okuliarov, ktoré však musia byť týmto vybavené. Tretia možnosť je vonkajší slnečný clip alebo predves na dioptrické okuliare, pre potreby turistiky je najmenej vhodný.

Všetky možnosti majú svoje výhody aj nevýhody, záleží na konkrétnej osobe a účelu na ktorý chceme slnečné okuliare.

Späť na začiatok

Oči a počítač
Pri práci s počítačom, alebo monitorom sa často zabúda na zdravie. Najviac bývajú zaťažené oči, z čoho potom prichádzajú bolesti hlavy a celková únava- tzv. Computer vision Syndróm. Ten sa prejavuje bolesťou hlavy a únavou očí, zvýšeným slzením, podráždením očných spojiviek, pálením očí. Pri výraznom očnom zaťažení, neskôr aj spomaľované zaostrovanie a pocit rozmaznanosti obrazu.

Existuje veľa rád, ako zlepšiť komfort za PC. Nie vždy je možné ich dodržať a tak sa nedôjde ku žiadnym úpravám. Preto je vhodné poznať základné faktory zrakovej únavy pri práci za PC. V prvom rade je to:

A) Nesprávna ergonometria PC pracoviska – základ je minimalizovať rušivé odrazy z monitoru:

  • Veľmi dôležité je osvetlenie priestoru. Nie je vhodné používať pri dlhšej práci s PC žiarivkové osvetlenie vzhľadom k rôznemu kmitaniu obrazovky monitora a žiarivky. Vtedy je potrebné doplniť osvetlenie stolovou lampou so žiarovkou. Nepoužívajte lampy s reflexnými plochami. Mnoho z nás si pamätá na nepríjemné odrazy zo stropných lámp na školskú tabuľu, ktoré znemožňovali rovnomerné videnie celej tabule bez potreby nakláňať sa. Vhodné sú osvetľovacie telesá, ktoré nemajú vyžarovací diagram kruhový, ale sústredený do 30st. od zvislej kolmice, maximálne do 45st., ale nedopadá priamo až k zemi, takže pri vstupe do takejto miestnosti sa nevie ktoré svetlo svieti a ktoré nesvieti.
  • Osvetlenie dokumentov, klávesnice, jas monitoru by mali byť rovnomerné, hodné sú malé stolné osvetľovacie lampy pracoviská s monitorom umiestňovať bez priameho a intenzívneho slnečného svetla - vhodné sú žalúziny, rolety.
  • Pre zníženie reflexivity pracovného prostredia je do kancelárii vhodnejší tmavý a matný nábytok.
  • Klávesnica: by mala byť v takej výške, aby paže v predlaktí zvierali pravý uhol, pod zápästie patrí podložka, tak, aby ruka nesmerovala príliš nahor, pred klávesnicou a po jej stranách je potrebné mať voľný priestor; po jednej strane klávesnice musí byť miesto pre myš (len tak na okraj: ak ste praváci, pouvažujte o umiestnení myši na ľavej strane; naučíte ovládať ju ľavou rukou, pravá bude voľná pre inú činnosť, napr. pre písanie).
  • Prestávka: po jednej až dvoch hodinách práce s počítačom  si urobte krátku prestávku, aby si oči oddýchli. Stačí sa vystrieť, niekoľkokrát sa zhlboka nadýchnuť a vydýchnuť, zavrieť oči a jemne si ich pomasírovať rukami. V pracovnom nasadení občas zamierte pohľadom do diaľky. Upretý pohľad na blízke predmety môže vyvolať stuhnutie očných svalov, ktoré sa pri zmene vzdialenosti a smeru opäť uvoľnia.  Alebo robte niečo, čo vaše oči nenamáha, napríklad vybavujte telefonáty. Odporúča sa pracovať s počítačom maximálne päť hodín denne. To nie je irónia k dnešnej dobe, ale odporúčanie z lekárskeho hľadiska.

B) Kvalitný monitor:

  • Nastavenie monitoru – v prípade CRT monitoru je potrebné zvýšiť maximálne dostupnú frekvenciu blikania (aspoň na 85Hz). V prípade LCD monitoru tento problém odpadá.
  • Nadmerný jas obrazovky spočiatku zlepšuje prácu s PC, pri dlhodobej práci dochádza k nadmernej únave očí. Jas monitoru je potrebné na minimum pohodlného čítania a rozlišovania zobrazeného materiálu. Odlišný jas obrazovky bude potrebný pri práci večer, iný pri práci cez slnečný deň. potrebné zmeniť jasnosť cez deň a znížiť podvečer.
  • Monitory by nemali byť nasmerované priamo na svetlo, tak aby pracovník nemal mať zdroj svetla v svojom zornom poli.
  • Vzdialenosť očí od hornej hrany monitoru by mala byť cca 60cm, vzdialenosť očí od klávesnice, dokumentu cca 40m. Je vhodné aby predloha bola medzi dolným okrajom monitoru a klávesnicou
  • Monitor vyžaruje elektromagnetické a röntgenové žiarenie, musí vyhovovať vytvoreným normám (napr. TCO99). Nesmie byť otočený zadnou stranou k iným pracovníkom. Stoly s počítačmi nesmú byť usporiadané za sebou ako v klasickej učebni. Podobne monitory nemajú byť umiestnené v rade za sebou, rozhodne nedopusťte, aby v kuželi EMI (elektromagnetického poľa), ktorý monitor zo zadnej časti vyžaruje, sedel ďalší spolupracovník; z rovnakého dôvodu nie je dobré opierať sa o zadnú časť monitora.

    Pomocou kvalitných filtrov je možné zlepšiť kvalitu obrazu na monitore. Keďže výber filtra na monitor závisí od mnoho požiadaviek, je potrebné poradiť sa s odborníkom v danej oblasti.

C) Očné choroby:

  • Žmurkanie: ak sústredene sledujete obraz na monitore, žmurkáte menej ako je potrebné a vysychajú vám oči. Pravidelne by ste mali používať očné kvapky, takzvané umelé slzy. Dajú sa kúpiť v každej lekárni.  Očné kvapky v nevyhnutnosti nahradí čistá studená voda. Kvôli prítomnosti chlóru ju nechajte približne hodinu odstáť. Potom si ju nalejte do dlane a vypláchnite v nej oči.
  • Zrak si dávajte vyšetrovať pravidelne, pretože výkon očí sa môže počas niekoľkých rokov zmeniť. Preventívna prehliadka je vhodná raz za rok.
  • Väčšinou ide o nedostatočnú korekciu refrakčných chýb – krátkozrakosť, vetchozrakosť, astigmatizmus.
  • Vhodné okuliare sú s antireflexívnou úpravou – zvýšením kontrastu zmenšujú očnú námahu. Pri požiadavke na okuliare do blízka je potrebné u očného lekára uviesť potrebu zrakového komfortu aj pri práci s PC obrazovkou. Je vhodné vedieť v akej vzdialenosti je umiestnená PC obrazovka od očí. Pri vzdialenosti väčšej ako 30cm môžu byť okuliare do blízka opticky príliš silné a tak byť ďalším zdrojom únavy. V prípade potreby – vhodnosti multifokálnych okuliarov netreba šetriť na kvalite, pretože kvalita optických skiel nie je len v samotnom zložení optickej šošovky, ale aj v šírke optického koridoru (Obr.3). Čím je optický koridor širší, tým je pozeranie cez optickú šošovku pohodlnejšie a naopak.
  • Veľmi častou príčinou okulárneho dyskomfortu pri práci s PC je nedostatočné obmývanie oka slzami. Za normálnych okolností oko produkuje slzný film, ktorá spĺňa viaceré ochranné funkcie. Film chráni oko pred prachom a zvlhčuje očný povrch. Býva obnovovaný mrkaním viečka, ktoré roztiera slzný film po celom povrchu oka. Pri práci za obrazovkou človek žmurká iba 3-4 krát. Vtedy sa  oko vysušuje a začnú spomínané pálenie a únava očí.

Pre zabránenie obtiaží s očami pri práci s PC existuje prepracovaný súbor cvičení s očami. Viď Oči a očné cvičenie.

späť na začiatok

Oči a očné cvičenie
Cieľom očných cvikov je prerušiť dlhodobé zaostrenie na blízko, zlepšenie prekrvenia očí a okolia očí. Postačí cvičenie denne 1-2x 5 minút denne.

Cvičenie - pred vlastným očným cvičením je potrebné nejskôr precvičiť ramená a krk. Zlepší se tým prekrvenie nervov chrbtice, krku a tým i očí, uvolnia sa krčné svaly.

Počas cvičenia každých 10 sekúnd pomaly žmurknite. Dýchajte pomaly a hlboko. Pri nádychu žmurkajte, pri výdychu zavrite oči. Pred žmurkaním silno zovrite oči.

  • Pozrite sa na predmet vo vzdialenosti 25-30cm pár sekúnd, potom na vzdialený predmet  potom to opakujte. Najviac prospieva pohľad na zeleň.
  • Po hodine práce pri počítači si aspoň na tri až päť minút oddýchnite, nechajte myšlienky blúdiť a potom sa pomaly vráťte k obrazovke. Pozrite sa priamo pred seba, potom pomaly zdvihnite oči hore, posuňte pohľad dolu, potom doľava a doprava a nakoniec sa opäť pozrite priamo pred seba. Pohybujte očami v tvare písmena “H”. Niekoľkokrát to zopakujte. Pohybovať by sa mali len oči, nie hlava.
  • Po každom cviku nasleduje krátky odpočinok. Cvičí se zásadne bez okuliarov!
  • Napätie očí môžete uvoľniť aj dlaňami. Najprv si ich navzájom pošúchajte, aby sa zvýšila ich teplota. Potom zavrite oči a dlaňami si ich zakryte.
  • Masírujte oči, prípadne celú tvár ľahkými krúživými pohybmi bruškami prstov.
  • Niekoľkokrát denne si ošpliechajte oči studenou vodou.
  • Čítanie:  Vhodné je aj paradoxne čítanie – nie je podstatné, aké množstvo textu se číta, ale záleží len na tom, aby boli oči po celú dobu uvoľnené. Začnite čítať bez okuliarov zo vzdialenosti, ktorá Vám nejviac vyhovuje. Akonáhle pocítite únavu očí, prestaňte čítať a na 1-2 sekundy si oči zavrite. Potom to môžete opakovať.

späť na začiatok

Syndróm suchého oka - suché oko (Fotogaléria)
Syndróm suchého oka je  stav, kedy sa tvorí menej sĺz, alebo slzy nie sú kvalitné. Tvorba sĺz je dvojaká. Bazálna tvorba – celkovo za deň 15-16 kvapiek. Počas spánku sa slzy neprodukujú. Druhý typ je reflexný - po iritácii oka prachom, dymom z cigariet, pri krájaní cibule a podobne. Slzy vytvoria na prednej časti oka slzný film, ktorý steká do vnútorného kútika. Odtiaľ sa slzy odsávajú do slzného vaku, ktorý je uložený v nose. Slzný film má viacero funkcii – predovšetkým zabezpečovať dobrú optiku, výživu a ochranu prednej časti oka.

  •  „Suché oko“ označuje skupinu chorôb spojených so symptómami -  suchosti, iritácie, pálenia, pocit piesku. Príčinou môže byť:
  • Nevhodná kvalita sĺz: očné choroby, poškodenie pečene, niektoré antialergické lieky, lieky proti bolesti, niektoré psychotropné lieky, akné.
  • Abnormality žmurkania: nedostatočné žmurkanie pri práci s počítačom, poškodenie oka a očnice pri poruche štítnej žľazy (Endokrinná orbitopatia), poškodenie inervácie mihalníc.
  • Abnormality povrchu oka: všetky očné ochorenia, ktoré spôsobujú nerovnosť povrchu rohovky a spojovky.
  • Environmentálne faktory: nadmerný chlad, nízka vlhkosť vzduchu - klimatizácia v aute, vietor, chemikálie prúdiace vo vzduchu, cigaretový dym, fluoreskujúce svetlo, kozmetika (saponáty, šampóny, výparu z laku na nechty),  dym z komínov.

Diagnostika je založená na dôkladnej anamnéze a očnom vyšetrení.

Anamnéza (ak ste aspoň na 5 otázok odpovedali „ANO“, pravdepodobne máte syndróm suchého oka:

  • Máte pocit piesku v očiach?
  • Napriek tomu Vám oči neslzia?
  • Mávate červené oči?
  • Mávate pocit „ťažkých“ – unavených očí?
  • Mávate sezónne alergie?
  • Vnímate svetlo nepríjemne, alebo bolestivo?
  • Zobúdzate sa ráno so zalepenými očami, „karpinami“?
  • Najväčšie obtiaže máte večer?
  • Niektoré ochorenia zvýrazňujú Syndróm suchého oka
    • Sjogrenov sy
      • Môžete jesť jedlo bez zapíjania
      • Máte pocit praskania v kĺboch?
      • Máte nejaké systémové choroby?
      • Užívate nejaké lieky, kvapky?
    • Cukrovka – Diabetes mellitus
    • Akne rosacea
    • Reumatoidná artritída

Liečba
Je potrebné liečiť nielen sundróm „suchého oka“, ale i vyvolávajúcu príčinu. Čím jednoduchšia liečba, tým lepší účinok terapie na pacienta. Princípom liečby je zavlhčenie očného povrchu - lubrikanciá oftalmologické - veľký výber, ale i tu je háčik. Snažiť sa používať preparáty bez iritujúcich konzervačných látok, (pretože sú pre suché oko toxické). Práve táto konzervačná látka je príčinou tolerancie jednotlivých preparátov jednotlivých firiem.

Na zmiernenie obtiaží pri liečbe „suchého oka“ môžeme použiť:

  • Kvapky (na trhu je široké spektrum  -je potrebné poradiť sa s očným lekárom)
  • Očný gél – vhodnejšie pri úporných obtiažiach, respektíve pri niektorých očných ochoreniach
  • Očný spray - pri šoférovaní, v spoločnosti je možné použiť špeciálny spray na hornú mihalnicu – viečko. Látka prejde cez pokožku na povrch oka a zavlaží ho
  • Implantáty. Jedná sa o špeciálne netoxické implantáty do slzných ciest. Implantácia je absolútne nebolestivá, bez krvácania, s možnosťou kedykoľvek obnoviť pôvodný stav. Je vhodná pri extrémne suchých očiach, zamedzuje, alebo znižuje potrebu aplikácie očných lubrikancií a výrazne zlepšuje okulárny komfort. Implantácia nie je hradená zo zdravotného poistenia

Veľmi dôležitou súčasťou komplexného vyšetrenia syndrómu „suchého oka“, alebo alergických prejavov na oku je neivazívne imunochromatografické vyšetrenie slzného obsahu (nebolestivé vyšetrenie pomocou špeciálnych prúžkov, ktoré odhalia alergickú povahu očných obtiaží). Imunochromatografické vyšetrenie nie je hradené zo zdravotného poistenia.

Netreba zabúdať ani na používanie ochranných pomôcok - potápačské, plávacie lyžiarske ochranné okuliare, filtre na PC, atď.

späť na začiatok

Prvá pomoc pri niektorých očných chorobách

 -         Je dôležité poznať aspoň základy prvej pomoci pri poškodení oka, pretože akékoľvek poškodenie oka môže vyvolať závažné a trvalé poškodenia videnia.

-         Text slúži len informatívne na akútnu I. pomoc v domácnosti, nenahrádza učebnicu. 

 

Názov

Trauma - Popálenie

Príčina

Napríklad prsknutie horúceho oleja pri varení, pri otváraní horúceho chladiča auta.

Prejav

Sú rôzne stupne poškodenia: v zásade rýchle začervenanie oka, opuch spojovky, silná bolesť oka, slzenie, obtiažne otvorenia oka, v horších prípadoch nekrotizácia tkaniva.

I. pomoc

-         Okamžitý výplach oka – spojovkového vaku studenou vodou (aj z vodovodu). Je potrebné vyplachovať aspoň 5 minút nepretržite.

-         Okamžitý transport k očnému špecialistovi.

-         Je veľmi dôležité, aby si každý uvedomil, že popálenie spôsobujú výraznú termickú reakciu, ktorá môže nezvratne poškodiť oko. Preto je veľmi dôležité okamžité vyplachovanie oka studenou vodou a nestrácať čas inou činnosťou. Najskôr výplach oka a potom ihneď transport k lekárovi.

Prevencia

Zvýšená opatrnosť pri práci s horúcou tekutinou.

  

 

Názov

Trauma – Poleptanie

Príčina

Napríklad akýkoľvek kontakt s leptavou látkou (riedidlá, niektoré lepidlá, moridlá, akékoľvek kyseliny – hlavne chlorovodíková a sírová, lúd sodný), v extrémych prípadoch aj koncentrované látky v umývacích prostriedkoch.

Prejav

Sú rôzne stupne poškodenia: v zásade rýchle začervenanie oka, opuch spojovky, silná bolesť oka, slzenie, obtiažne otvorenia oka, v horších prípadoch nekrotizácia tkaniva.

I. pomoc

-         Okamžitý výplach oka – spojovkového vaku studenou vodou (aj z vodovodu). Je nevyhnutné vyplachovať aspoň 10 minút nepretržite.

-         Okamžitý transport k očnému špecialistovi.

-         Je veľmi dôležité, aby si každý uvedomil, že poleptanie spôsobuje chemické reakcie, ktoré nezvratne poškodzujú oko. V týchto prípadoch je extrémne dôležité okamžité a časovo dlhé vyplachovanie oka studenou vodou a nestrácať čas inou činnosťou. Najskôr výplach oka a potom ihneď transport k lekárovi.

Prevencia

Zvýšená opatrnosť pri práci s leptavými látkami.

 

 

Názov

Náhla strata videnia – mžiky, výpady v zornom poli, zahmlievanie.

Príčina

Zmeny krvného tlaku – znížený, vysoký, kolísanie krvného tlaku = respektíve ochorenia,ktoré tieto zmeny vyvolávajú, chudokrvnosť, niektoré závažné (až videnie, alebo život ohrozujúce) ochorenia a podobne.

Prejav

Zahmlievanie pred očami, niekedy spojené s nevoľnosťou a závraťami

I. pomoc

-         Kontrola krvného tlaku, na krátku dobu si ľahnúť, trieť si ruky, eventuálne si ich ponoriť do teplej vody.

-         Ak takýto stav nastane po prudkom vstaní zľahu, alebo zo sedu – chvíľu si posedieť a potom pomaly vstať.

-         Podľa intenzity obtiaží návšteva u lekára. Obzvlášť ak sú výpadky videnia spojené s bolesťou oka, hlavy, so závraťami, nevoľnosťou – vtedy je potrebná návšteva u lekára.

Prevencia

-         Kontroly krvného tlaku.

-         Pravidelné kontroly očného pozadia, vnútroočného tlaku.

-         Pri častých opakovaných atakách vhodné vyšetrenie u praktického lekára, ktorý najlepšie posúdi celkový stav (od sy suchého oka cez zmeny krvného tlaku až po poškodenie nadobličiek a podobne)

-         Vhodné je absolvovať špeciálne ultrazvukové (dopplerovské) vyšetrenia oka, kde je možné presne detekovať stupeň prekrvenia oka, eventuálne pre videnie nedôležité zákaly v sklovci.

 

 

Názov

Náhla strata videnia – Náhla cievna mozgová príhoda - NCMP.

Príčina

Rizikové faktory:

-         Vysoký krvný tlak.

-         Srdcové ochorenia (porucha srdcového rytmu, najmä fibrilácia predsiení).

-         Zvýšené riziko pri veku nad 65 rokov.

-         Fajčenie.

-         Obezita.

-         Cukrovka

Prejav

Smrteľne nebezpečné ochorenie

-         Slabost až ochrnutie, porucha citlivosti polovice tela

-         Náhla porucha reči

-         Náhla porucha videnia:

o       výpady zorného poľa,

o       náhla strata videnia až slepota

o       náhla porucha pohyblivosti očí – vznik dvojitého videnia.

-         Intenzívne bolesti hlavy.

-         Náhle závrate, alebo pád "z ničoho nič".

-         Vracanie, náhle poruchy vedomia.

-         Veľmi závažným a varovným signálom je poklesnutý kútik úst – pri pokuse o úsmev nie je postihnutý človek schopný pohybovať obidvoma ústnymi kútikmi rovnomerne.

I. pomoc

-         Niekedy prejavy NCMP môžu byť plíživé a nie všetky naraz. Pri objavení vyššie uvedených príznakov je potrebné absolvovať neurologické vyšetrenie a následne špecializované očné – neurooftalmologické vyšetrenie.

-         V prípade náhleho vzniku vyššie uvedených príznakov je nevyhnutné čo najrýchlejšie volať záchrannou službu.

Prevencia

-         Eliminácia, alebo aspoň kompenzácia rizikových faktorov, predovšetkým kontroly krvného tlaku, srdcové ochorenia, atď.

-         Pravidelné kontroly očného pozadia, vnútroočného tlaku.

-         Absolvovať špeciálne ultrazvukové (dopplerovské) vyšetrenia oka, kde je možné presne detekovať stupeň prekrvenia oka.

  

 

Názov

Bolesti oka.

Príčina

Akékoľvek poškodenie oka, alebo očnice: Napríklad zápal oka/očnice, úrazové poškodenia oka/očnice, očná migréna, akútny glaukómový záchvat, zápal zrakového nervu atď.

Prejav

Bolesť oka v rôznych podobách.

I. pomoc

-         Pokiaľ nie je úrazová anamnéza, človek sa pozerá dole, veľmi jemne bruškami ukazováka a prostredníka pomačkáme v hornej časti bulbu cez zatvorené mihalnice. Ak je výrazná tlaková bolesť, pravdepodobne sa ide o hlboký zápal v oku (uveitída). Ak je oko tvrdé ako kameň - veľmi pravdepodobne ide o akútny glaukómový záchvat.

-         Potrebné vyšetrenie a ošetrenie odborným očným lekárom

Prevencia

Bolesť oka je treba riešiť zásadne podľa príčiny.

späť na začiatok

 

Oči a štítna žľaza – endokrinná orbitopatia (Fotogaléria)
Možno poznáte vo svojom okolí človeka, ktorý aj keď je dobrosrdečný, zazerá na vás, má hrozivo vytreštené oči a veľké opuchnuté viečka. Zmenu výrazu jeho tváre spôsobujú aj silne vyklenuté oči. Na svedomí to má porucha funkcie štítnej žľazy. Ak sa tento proces nezastaví, môže spôsobiť invaliditu až slepotu. Endokrinná orbitopatia, lebo podľa laického popisu o ňu ide, je ochorenie očnice, známe aj pod menom Graves, Basedowova orbitopatia.

Endokrinná orbitopatia je ochorenie, pri ktorom vznikajú škodlivé protilátky, ktoré sa viažu na rôzne tkanivá v tele. Napríklad na štítnu žľazu, na očné svaly, niekedy tukové tkanivo za okom, alebo na dolných končatinách.  Preto sa niekedy označuje nesprávne ako ochorenie z poškodenia štítnej žľazy. Endokrinná orbitopatia je však samostatné ochorenie, pri ktorom sa telu škodlivé protilátky ukladajú do očnicového tkaniva – očné svaly a očnicový tuk.

Endokrinná orbitopatia má svoj charakteristický priebeh a možné komplikácie. Človeka s týmto ochorením viac sužuje kozmetický vzhľad, ako samotné zdravotné problémy. A to je práve veľmi zradné. Komplikácie, ktoré pri endokrinnej orbitopatii vznikajú, sú veľmi vážne. Napríklad sú to zelený zákal, dvojité videnie, pocit suchosti oka, poškodenie zraku. V týchto prípadoch len dobrá spolupráca endokrinológa a oftalmológa môže pomôcť pacientovi k zlepšeniu jeho zdravotného stavu.

Medzi klinické príznaky, ktoré svedčia o endokrinnej orbitopatii patrí veľká očná štrbina s presvitaním bielka medzi mihalnicami - typický výraz „vystrašených očí“, vrecovitý opuch hornej aj dolnej mihalnice, ktorý je najvýraznejší ráno a v priebehu dňa ustupuje. K najcharakteristickejším znakom patrí vyklenutie - vytlačenie - oka z očnice. Zriedkavou, ale o to zákernejšou, známkou je poškodenie zrakového nervu na očnom pozadí, ktoré môže skončiť odumretím zrakového nervu s trvalou stratou zraku. Častým príznakom býva aj zvýšený vnútroočný tlak. Ale pri endokrinnej orbitopatii má špecifické postavenie, ktoré vyplýva zo špecifickej patogenézy poškodenia orbitálneho obsahu a označujeme ho ako pseudoglaukóm. Ide o stav, keď pri pohľade priamo je vnútroočný tlak v norme, ale pri pohľade proti smeru očného svalu, postihnutého zápalom, vnútroočný tlak stúpa až nad fyziologickú hodnotu. Ak takýto stav pretrváva, môže dôjsť k závažnému glaukomatóznemu poškodeniu zrakového nervu so stratou videnia.

Možnosti liečby
Pokiaľ má byť liečba pacienta s endokrinnou orbitopatiou úspešná, musíme poznať celý súbor sprievodných chorobných príznakov, frekvenciu ich výskytu, možnosti liečby a rizikové faktory, ktoré napriek správnej liečbe poruchy funkcie štítnej žľazy môžu zhoršovať a spomaľovať priebeh i prognózu ochorenia. Preto treba venovať pozornosť nielen úspešnosti liečby, ale súčasne sledovať výskyt patologických príznakov.

Pri endokrinnej orbitopatii je výrazne zmenený psychický stav pacienta – pri zvýšenej funkcii štítnej žľazy psychický nepokoj, až nervozita, pri zníženej funkcii štítnej žľazy naopak - zdanlivá apatia. Pacienti s endokrinnou orbitopatiou vyžadujú zvýšené množstvo času na diagnostiku a liečbu v rámci iných oftalmologických ochorení.

Pri liečbe endokrinnej orbitopatie je možné postupovať konzervatívnou liečbou - symptomaticky, lokálne, alebo podávanie liečiv priamo pod oko, alebo vnútrožilovo, poprípade indikovať chirurgickú terapiu. Symptomatická terapia slúži na zlepšenie komfortu videnia a predstavujú ju napríklad vhodné slnečné okuliare, spánok s vyvýšenou hlavou. Cieľom lokálnej terapie je úprava zmien prednej časti oka a mihalníc. Pomáhajú najmä kvalitné umelé slzy vo forme kvapiek, ktoré nahrádzajú nedostatok slzného filmu. Dôležitou súčasťou lokálnej liečby sú aj lieky na rôzne formy zeleného zákalu. Nemenej dôležitá je celková terapia. Zameriava sa najmä na zníženie zápalových prejavov na vonkajších očných svaloch a redukciu retrobulbárneho tuku, ktorý sa v očnici hromadí a vytláča z nej oko. Na obmedzenie zápalu sa používajú glukokortikoidné látky, ktoré sa môžu aplikovať injekčne pod oko, alebo vnútrožilovo. Ďalšou možnosťou je orbitálna radiačná terapia. Ide o ožarovanie očných svalov a očnicového tuku.

Chirurgická terapia sa používa až v prípadoch, keď zlyháva konzervatívna liečba a stav endokrinnej orbitopatie je na zachovanie vitality zrakového nervu neúnosný, prípadne i z kozmetického dôvodu. Jedná sa o špecializované chirurgické zákroky mihalníc, očných svalov, alebo uvoľnenie tlaku v očnici špeciálnou operáciou tzv. dekompresiou očnice.

späť na začiatok

Oči a botulotoxín - aplikácia v medicínskych indikáciach (Fotogaléria)
V súčasnosti sa veľa hovorí o tom, ako botulotoxín (BTX), v laickej verejnosti známy ako nebezpečný „klobásový jed“, vznikajúci pri nedokonalej úprave mäsových a zeleninových konzerv, pomáha v korektívnej dermatológii, najmä pri „vyhladzovaní“ vrások. Pomocou botulotoxínu je však možné odstrániť napríklad tiky, úporné zášklby, končatinové dystónie a mnohé iné anomálie, ktoré chorých vyraďujú z pracovného procesu.

Na akom princípe je založený liečebný účinok botulotoxínu?
Botulotoxín je neurotoxín anaeróbnej baktérie Clostridium botulinum. Toxín neodolá teplu a zásaditému prostrediu, avšak odolá kyseline. Preto po požití jedla z konzervy nie je zničený žalúdočnou kyselinou. Jeho prítomnosť blokuje v tele  vylučovanie špeciálnej látky acetylcholínu na nervovo svalovom spojení a tým zároveň dochádza k blokovaniu prenosu nervového vzruchu a k rôznemu stupňu ochrnutia svalu. Ale účinok závisí od množstva jedu v tele. V medicíne pracujeme so skutočne malými dávkami. Aj tak treba každého pacienta podrobne informovať o mechanizme účinku aplikovanej látky i možných nežiadúcich účinkoch.

Ako sa prišlo na využitie tohto jedu v medicíne?
Účinok botulotoxínu, teda jeho schopnosť paralyzovať svaly, je známy oddávna. Keďže je veľa nepríjemných a bolestivých stavov, ktoré by sa dali odstrániť miestnym vyradením „neposlušného“ svalu z činnosti, botulotoxín vedcom nedával pokoj. Ako produkt baktérie Clostridium botulinum, bol pripravený v syntetickej podobe už v roku 1946, keď ho oční lekári Dr.Scot a Dr. Schantzem použili pri liečbe škúlenia. Ale jeho bohatšie využívanie začalo až v osemdesiatych rokoch minulého storočia. Dnes sa ním lieči široké spektrum patologických stavov.

Uplatňuje sa napríklad v neurológii (tvárové, cervikálne, končatinové dystónie, ťažká spasticita končatín detí v rámci perinatálnej encefalopatie, u dospelých po cievnej mozgovej príhode, bolesti z dystónie a spasticity, asymetria tváre atď.). Bohaté uplatnenie má aplikácia botulotoxínu aj v oftalmológii.

S akými zdravotnými problémami sú pacienti indikovaní k liečbe botulotoxínom?
Evidujeme mnoho pacientov, ktorí boli a sú liečení botulotoxínom. Uvediem aspoň niektoré najdôležitejšie diagnózy, pri ktorých botulotoxín, ak je správne aplikovaný, robí takmer zázraky. Ide nielen o známe kŕčovité zovretie viečok - tzv. blefarospazmus, alebo úporné zášklby viečok – tzv. myokýmie. Pomáha aj pri úprave škúlenia – zabiehania očí, medzi iným aj po cievnej mozgovej príhode. Infarkt postihuje najmä starších ľudí, ktorí už nie sú schopní zo zdravotného hľadiska absolvovať operačný zákrok. Pritom postačuje niekoľkokrát opakovaná dávka botulotoxínu do svalov, ktoré pohybujú okom a vo väčšine prípadov dochádza k uspokojivej úprave polohy očí a najmä odstráni sa tým aj veľmi nepríjemné dvojité videnie. Samotné dvojité videnie je mimoriadne vážnou komplikáciou aj pri iných ochoreniach, napríklad pri špecifickom poškodení oka a očnice pri poruche štítnej žľazy, ktoré sa navonok prejavuje neprirodzene vyklenutými očami a veľkými opuchmi viečok. Aj v týchto prípadoch správne aplikovaný botulotoxín pomáha odstrániť nepríjemné obtiaže a bolesti. Používame ho aj pri liečbe úporných rohovkových vredov, poškodení rohovky po úraze i vtedy, keď potrebujeme docieliť umelé padnutie viečka, aby chránilo poškodenú rohovku a umožnilo jej liečbu.

Ľuďom s nepríjemnými rytmickými pohybmi očí – tzv. nystagmom, prekáža stále sa pohybujúci obraz pred očami. Spôsobuje nevoľnosť a závrate. Jedným z účinných spôsobov liečby pri niektorých druhoch nystagmu je opäť - botulotoxín.

Ako rýchlo pôsobí? Treba aplikáciu botulotoxínu viackrát opakovať, alebo stačí jeden zákrok?
Efekt nastupuje v priebehu 1 - 14 dní a pretrváva 1 až 5 mesiacov. V prípade potreby aplikáciu opakujeme. Zároveň sa upravujú aj nežiadúce komplikácie.

Botulotoxín je predsa len jed. Je vôbec jeho aplikácia pre pacienta bezpečná?
Ako každá procedúra, aj aplikácia botulotoxínu môže vyvolať nežiadúce účinky. Okrem nepríjemného pocitu (pálenie, tlak) počas aplikácie pri oftalmologických indikáciách sa v mieste aplikácie môžu vytvoriť drobné modrinky. Komplikáciou môžu byť aj nadmerne oslabená pohyblivosť svalu, svalovej skupiny so vznikom dvojitého videnia, pokles mihalnice, alebo znížená tvorba sĺz. Pacienta dopredu upozorníme na tieto možné komplikácie. Musí vedieť, že všetky nežiaduce prejavy sú iba dočasné. Pri správnej aplikácii v špeciálne vybavenej ambulancii sú však riziká skutočne minimálne a napriek finančnej náročnosti tejto liečby je efekt nesporný. Napokon, každá liečba sa meria nie peniazmi, ale spokojnosťou vyliečených pacientov. Naši pacienti každého veku, ktorým sa o poznanie zlepšila kvalita života a niektorí sa vrátili opäť do práce, hoci im už hrozila invalidita, vedia, že vynaložené náklady sa im mnohonásobne vrátia.

Je pri liečbe botulotoxínom nevyhnutná hospitalizácia?
Nie. Pacient je ošetrovaný ambulantne, aplikácia botulotoxínu si hospitalizáciu nevyžaduje. Chorý však musí dodržiavať isté obmedzenia: napríklad nesmie si masírovať ošetrené miesto, ani sa ho inak dotýkať a aspoň 4 - 6 hodín sa treba vyhýbať priestorom, kde dochádza k veľkým zmenám atmosférického tlaku.

Sú vyslovene „nevhodní“ pacienti - kontraindikovaní - na liečbu botulotoxínom?
Ak pacienti užívajú niektoré antibiotíká, kortikoidné preparáty alebo trpia na neuromuskulárne ochorenia, vyžadujú si od lekára zvýšenú opatrnosť. Aplikácia botulotoxínu je kontraindikovaná aj v tehotenstve, počas kojenia a v prípade alergie na zložky botulotoxínového preparátu.

Oči a šport

Športovanie má nepochybne blahodárny vplyv na naše zdravie. Každý si však pod pojmom športovanie predstaví rozličný spôsob športovania. 

Pri telesnom cvičení sa krvný obeh presúva z iných častí tela do svalov a kože. Zvyšuje sa aj prekrvenie oka a dochádza k miernemu zníženiu vnútroočného tlaku (nenahrádza liečbu antiglaukomatikami!). Oko má okrem iných regulačných mechanizmov aj špecifickú autoreguláciu, ktorá zabezpečuje optimálne prekrvenie pri rôznych situáciách – stres, náhle zmeny krvného tlaku a podobne. Táto autoregulácia je pri niektorých ochoreniach oka (zelený zákal, hypertenzia, výrazne kolísavý krvný tlak a podobne) nedostatočná a pri zvýšenej fyzickej námahe nemusí vždy dostatočne zabezpečiť prekrvenie oka.

Každé ochorenie oka reaguje odlišne na rôznu fyzickú námahu. Pre glaukomatikov (pacientov so zeleným zákalom) je „bežné“ telesné cvičenie ( cyklistika, turistika, plávanie, rozcvičky) veľmi prospešné. Tento fakt je známy už niekoľko desaťročí. Naopak izometrické cvičenia (zvýšenie tonusu svalu bez kontrakcie svalovej hmoty) môžu spôsobovať nedostatočné prekrvenie u glaukomatikov a obzvlášť u diabetikov s poškodením sietnice. Ľudia s poškodením v rámci sklerosis multiplex sa často sťažujú na mierne prechodné zhoršenie videnia po fyzickej námahe. Tento tzv. Uhtoffov fenomén bol popísaný už v minulosti a je jednou z diagnostických známok vizuálneho poškodenia pri sklerosis multiplex.

Vysokohorská turistika: pri prekonávaní terénu vo vysokej nadmorskej výške sa zhoršuje saturácia kyslíkom. Pre trénovaným ľudí a ľudí so zdravým kardiovaskulárnym systémom pokiaľ sa dodrží doba potrebná na adaptáciu, nie je dôvod na obavu. Problém môžu mať ľudia s tendenciou k vazospazmu ( nízky, kolísavý krvný tlak, glaukóm – zelený zákaly, ortostatický kolaps – závrate, mdloby pri prudkej zmene polohy tela). Najčastejšie sú sťažnosti na občasné výpady videnia, zúženie zorného poľa. V extrémnych prípadoch môže dôjsť ku krvácaniu do sietnice.

Potápanie: pri potápaní do väčších hĺbok výrazne stúpa tlak vody. Súčasne s tým sa rozpúšťajú inertné plyny. Pri rýchlom vynáraní z väčšej hĺbky sa tieto plyny opäť menia do plynného skupenstva a môžu spôsobiť celý rad zdravotných problémov známych pod pojmom Kesónová choroba. Z očného hľadiska sú časté prejavy zahmlievania pred očami, poruchy farbocitu, zášklby mihalníc až blefarospazmus, alebo až slepota. Jedinou terapiou je hyperbarická komora. Časté potápanie môže byť relatívne riskantné u ľudí po operácii oka rádovo 8-12 týždňov pre možnosť infekcie oka z vody, zmeny tlakových pomerov. Časté potápanie je rizikom aj pre ľudí s aj miernym poškodením sietnice a žltej škvrny, cievnych zmien na oku a v očnici. Je potrebné si dať pozor na správne nasadenie potápačskej masky, pretože nesprávnom nasadení sa nedostatočne vyrovnávajú tlaky. Vtedy môže dôjsť k opuchu až hematómu (zakrvácaniu pod pokožkou) v oblasti mihalníc a oka. Vo väčšine bývajú tieto komplikácie bez následkov. Nakoniec je vhodné spomenúť aj takú banalitu akou je požívanie prípravkov na zábranu orosenia okuliarov. Niektoré z týchto prípravkov môžu pri kontakte s okom, respektíve výparmi poleptať oko. V takýchto prípadoch je nevyhnutné ošetrenie u očného lekára. Plávanie samotné nemá negatívny vplyv na zrakový systém. Aj tu je vhodné venovať pozornosť chemickým prostriedkom na zábranu rosenia plávacích okuliarov.

späť na začiatok

Prechodné zahmlievanie – výpady videnia (Fotogaléria)

Za fyziologických okolností sme schopní vnímať priestor okolo nás neustále a rovnomerne. Táto schopnosť je podmienená:

  • optickým systémom, ktoré musí byť číre a funkčne adaptované
  • zdravým tkanivom oka, očných svalov
  • nepoškodeným mozgovým tkanivom

Akékoľvek poškodenie v týchto systémoch môže spôsobiť trvalú alebo prechodnú poruchu zraku.  Občasné výpady videnia je častou sťažnosťou ľudí v očnej ambulancii. Zistiť príčinu však nie je jednoduché, pretože občasné zahmlievanie zraku môže byť spôsobené od najjednoduchších až po najobtiažnejšie poškodenia zrakového systému. Našťastie v drvivej väčšine sú občasné výpady videnia spôsobené relatívne nezávažnými problémami ako sú abnormality slzného filmu, kedy postačí aplikácia vhodných očných lubrikancií, častejšie žmurkanie hlavne pri práci s monitormi. Taktiež ľudia s kolísavým krvným tlakom, ľudia citliví na zmeny atmosférického tlaku. V týchto prípadoch je vhodná úprava krvného tlaku a telesné cvičenie.

V tejto súvislosti je potrebné spomenúť aj veľmi časté subjektívne obtiaže ako je pocit plávajúcich bodov, až machúľ pred okom. Tieto obtiaže vyplývajú väčšinou z degeneratívnych zmien sklovca. Sklovec vypĺňa takmer 2/3 oka a konzistenciou ho môžeme prirovnať k želatíne Ak je želatína kvalitná, je svojou konzistenciou pevná a nerozlieva sa. Ak je napríklad nekvalitná, alebo staršia, konzistencia želatíny už nie je taká pevná a má tendenciu sa prelievať. Podobne aj sklovec, ak je poškodený z úrazu, po zápaloch, infekciách alebo  z degeneratívnych zmien pri krátkozrakosti, respektíve vekom, jeho konzistencia už nie je taká pevná a pri každom pohybe oka, žmurknutí sa zákaly v ňom pohybujú. Zákaly môžu mať rôzny tvar. Tieto pohybujúce sa zákaly vyvolávajú pocit plávajúcich bodov až machúľ pre očami (Fotogaléria (Sklovec zákaly1,2) ).

Medzi závažnejšie príčiny občasných výpadov videnia patria úrazy oka – drobné zakrvácanie dovnútra oka,  drúzy zrakového nervu.

Drúzy zrakového nervu ochorenie zrakového nervu, ktoré sa prejavuje ukladaním lesklých, nepravidelných žltých nodulárnych útvarov v hlave optického nervu (Fotogaléria). Drúzy môžu byť malé ale aj veľmi veľké. Drúzy zrakového nervu chápeme ako nahromadenie odpadového materiálu v zrakovom nerve. Sú geneticky podmienené, prevážne autozomálne dominantne – tzn. ak sa vyskytne gén s týmto postihnutím - ochorenie sa klinicky prejaví. Vyskytujú sa v 0,3-1% populácie, väčšinou u belochov. V 80% sa vyskytujú na obidvoch očiach. Niekedy sa drúzy zrakového nervu vyskytujú samostatne, ale nezriedka bývajú súčasťou iných ochorení (napríklad poškodenie oka pri hypertenzii, zápal zrakového nervu, zápal cievnatky alebo iné vrodené ochorenia pigmentová dystrofia sietnice, fakomatózy).

Drúzy zrakového nervu aj keď sú prítomné v tkanive zrakového nervu, dlhé roky nemusia spôsobovať žiadne subjektívne obtiaže – sú asymtomatické. Často však spôsobujú nevysvetliteľné občasné výpady videnia, prechodné zúženie zorného poľa. Pre exaktnú diagnostiku drúz zrakového nervu je potrebné použiť špeciálne vyšetrovacie techniky akými sú napríklad oftalmochromoskopia (Fotogaléria (Oftalmochromoskopia 1,2,3) ) - autofluorescencia v rôznych farebných filtroch, digitálne zobrazovacie techniky a ultrasonografia. Ultrasonografia je jednoznačne špecifická a senzitívna najmä na drúzy uložené v hĺbke hlavy zrakového nervu. Liečba drúz zrakového nervu, respektíve poškodene nervového tkaniva patrí do rúk špecialistu oftalmológa a pokiaľ má pacient subjektívne obtiaže a objektívne zmeny-  je potrebná dispenzarizácia.

Mimoriadne závažná príčina prechodného zhoršenia zraku je opuch zrakového nervu, nádory v očnici, úraz, nádor, alebo aneuryzma (vydutie cievy) v mozgu. Občasné výpady zraku – zahmlievanie videnia nespôsobujú len spomínané očné poruchy. S výpadmi videnia sa môžeme stretnúť aj pri zdanlivo nesúvisiacimi ochoreniami tela akými sú: poruchy činnosti, srdca, výrazné kolísanie krvného tlaku, zmeny veľkých krčných ciev, imunologicky podmienené zápaly ciev a tkaniva, náhla úprava krvného tlaku pri vysokej hypertenzii. S kolísaním zrakovej ostrosti sa často stretávajú aj diabetici, ktorí majú výrazne kolísavú hladinu krvného cukru.

Prechodné poruchy videnia môžu mať viacero foriem:

  • Amaurosis fugax je prechodná zraková porucha, spôsobená nedostatočným prekrvením oka, alebo mozgu. Subjektívne obtiaže sú rôznorodé - najčastejšie prechodné zhoršenie zrakovej ostrosti, zorného poľa, alebo zhoršenie farbocitu, kontrastu. Prechodné zhoršenie trvá v závislosti od niekoľkých minút až niekoľko hodín. Pokiaľ je príčinou poškodenie mozgu, pacienti udávajú okrem vizuálnych obtiaží aj iné problémy akými sú dvojité videnie, obtiažna reč, závrate a podobne.
  • Obnubilácie sú výpady videnia na obidvoch očiach v trvaní niekoľko sekúnd. Môžu sa vyskytovať napríklad pri opuchu zrakového nervu, pri zvýšenom tlaku v hlave.
  • Oftalmická migréna trvá zvyčajne niekoľko minút – cca 15-30 minút. Začína sa ako pohyblivý zákal - skotóm pred okom, ktorý sa pohybuje od centra smerom k okraju zorného poľa. Neskôr skotóm mizne a začína sa záchvatovitá bolesť hlavy.
  • Uhthoffov príznak je tiež prechodný pokles zrakovej ostrosti. Je typickým príznakom sklerózis multiplex. Vzniká po telesnej námahe, teplej kúpeli, horúčke a  psychickom strese, kedy človek pociťuje prechodne zhoršenie zrakovej ostrosti.

Pri differenciálnej diagnostike je vždy potrebné komplexné oftalmologické (neurooftalmologické) vyšetrenie, ultrasonografické dopplerovské vyšetrenie oka a očnice (Fotogaléria), karotického a vertebrobazilárneho systému, konziliárne vyšetrenie neurologické, interné. Veľmi dôležitá je už prvotná anamnéza: Jednostranné výpady videnia bávajú podmienené väčšinou poškodením ciev na danej strane, obojstranné prechodné poruchy vznikajú z poškodenia ciev mozgu alebo tkaniva mozgu. Niekoľko sekundové výpady videnia bývajú spojené so zmenami krvného tlaku, ale aj pri opuchu zrakového nervu, respektívne pri drúzach zrakového nervu. Niekoľko minútové až niekoľko hodinové výpady videnia sú spojené cerebrovaskulárnymi ochoreniami, migrénami alebo tiež so zmenami krvného tlaku. Zásadne dôležité je odlíšiť relatívne nezávažné príčiny od zrak ohrozujúcich príčin, pretože neskorá diagnostika a tým aj liečba môže v prípade nebezpečných príčin značne zhoršiť perspektívu.

Liečba prechodnej poruchy zraku je vždy závislá od vyvolávajúcej príčiny, či už z hľadiska oka, mozgu, srdca alebo krvného riečiska.

 

Maculopatia - Porucha žltej škvrny

  Dôležitou súčasťou procesu videnia je sietnica. Táto časť oka umožňuje meniť vizuálny vnem – energiu svetla na bioelektrický - nervový vnem. Túto schopnosť zabezpečujú okrem iných predovšetkým tzv. svetlocitlivé bunky – fotoreceptory. Nachádzajú sa v celej oblasti sietnice. Podľa funkcie a tvaru rozoznávame dva typy: čapíky a tyčinky. Čapíky sú uložené hlavne v centre sietnice – v makule. Podľa prítomnosti žlto sfarbeného pigmentu má makula aj iný názov - žltá škvrna. Žltá škvrna je miestom s mimoriadne hustou prítomnosťou fotoreceptorov – čapíkov. Čapíky umožňujú ostré a detailné videnie. V odbornej terminológii nazývané ako centrálne zraková ostrosť. Veľmi zjednodušene povedané, ide o schopnosť rozoznať v určitej vzdialenosti dva čo možno najmenšie body. Pri vážnom poškodení centrálnej zrakovej ostrosti človek síce vníma orientačne priestor okolo seba, ale nie je schopný čítať, eventuálne písať, sledovať televízor, alebo rozoznávať tvár človeka. 

Makulopatia (poškodenie žltej škvrny) patrí v súčasnosti k najčastejším príčinám slepoty vo svete. Vzhľadom k zložitosti biochemických procesov je príčina multifaktoriálna. Podstatou je nedostatočné prekrvenie žltej škvrny a poškodenie látkami, ktoré vznikajú ako odpadový produkt metabolizmu. Tieto látky sa nazývajú „voľné radikály“. Podľa typu poškodenia, klinického prejavu a prognózy sa rozlišujú dve formy makulopatie. Sú to tzv. „suchá“ forma a „vlhká“ forma. Pri „suchej“ forme dochádza k poškodeniu fotoreceptorov a tkaniva v oblasti žltej škvrny a ukladanie metabolického odpadu do makuly vo forme tzv. drúz. Táto forma tvorí až 90% prípadov makulopatie. Druhá forma – „vlhká“ makulopatia tvorí iba cca 10% zo všetkých makulopatii. Avšak jej priebeh, respektíve riziko výrazného zhoršenia zraku je niekoľko násobne vyššie a perspektívne horšie ako je to pri suchej forme. Okrem rozdielneho anatomického a funkčného poškodenia majú obidve formy spoločný nedostatok, deštrukciu očných pigmentov.
Termín degenerácia žltej škvrny označuje geneticky podmienené poškodenie žltej škvrny, termín dystrofia žltej škvrny predstavuje získanú formu poškodenia žltej škvrny.
Poškodenie žltej škvrny väčšinou prebieha pomaly a zákerne plíživo. Až keď dôjde k poškodeniu väčšieho počtu buniek, človek si začne uvedomovať, že vidí ako cez kvapku vody – ako keby v centre zorného poľa/okuliarov mal kvapku vody. Neskôr pre neliečení a progresii ochorenia začne horšie rozoznávať text - pričom okuliare nepomôžu, pomalšie sa adaptuje zo svetla na tmu/šero, obtiažne sa číta text s nahustenými písmenami za sebou (13579346 – 1 3 5 7 9 3 4 6 - typickým subjektívnym problémom je obtiažne čítanie čísiel v účte, mobilné číslo a podobne).
 
Rizikové faktory:
q       Vek (v 50. roku je 2% riziko, v 75. roku je to 35% riziko vzniku makulopatie),
q       Nedostatočné prekrvenie makuly:
o       vysoký krvný tlak - neliečený,
o       cukrovka – nedostatočne kompenzovaná,
o       stav po prekonaní infarktu srdca, mozgu,
q       Genetická predispozícia,
q       Stav po operácii sivého zákalu,
q       Fajčenie
q       Nedostatočná hustota makulárneho pigmentu,
q       Svetlá farba dúhovky – očí,
q       Obezita – v tukových bunkách sa viaže nadbytočné množstvo makulárnych pigmentov a tie potom chýbajú v oku,
q       Nadmerné pôsobenie svetla (nadmerné pôsobenie UV, infračerveného žiarenia, nadmerné pôsobenie modrého svetla.
 
Diagnostika:
Pre exaktnú diagnostiku poruchy žltej škvrny je potrebné absolvovať odborné očné vyšetrenie. V každom prípade však ľudia, ktorí majú niektoré rizikové faktory a chcú aj sami niečo urobiť pre svoje zdravie, si aj doma môžu vyšetriť žltú škvrnu pomocou tzv. Amslerovej mriežky (Amslerovú mriežku si môžete bezplatne stiahnuť na konci textovej ponuky) Je potrebné pamätať na to, že sa jedná o veľmi orientačné a vyslovene skríningové vyšetrenie!
 
Liečba:
Našťastie napriek nepriaznivej prognóze a frekvencii výskytu aj toto ochorenie je možné správnou liečbou a životosprávou zastaviť alebo spomaliť progresiu a odvrátiť neželané zhoršenie videnia. Dôležité je pristupovať k tomuto ochoreniu preventívne, t.j. pravidelne absolvovať špecializované očné vyšetrenie.
Liečbu možno rozdeliť na doplnkovú - dopĺňanie chýbajúcich látok v oku. Jedná sa predovšetkým o antioxidanty špecifické pre oči. Pre správne metabolické procesy sú potrebné okrem iných látok (vitamín C, A, E, vitamíny skupiny B, zinok, selén) predovšetkým pigmenty luteín, zeaxantín a iné. Pre ich výnimočný prínos sa niekedy nazývajú ako „vnútorné okuliare“. Potrebné sú aj kvalitné slnečné okuliare. Doplnková liečba má síce v názve doplnková, ale prakticky je nenahraditeľná pri liečbe makulopatie.
Ďalšou medicínskou metódou je laserová fotokoagulácia, PDT (fotodynamická terapia) a aplikácia špeciálnych látok intravitreálne – do sklovca oka. Ide o inhibítory VEGF látok Tie sú selektívne, neselektívne. V prísne indikovaných prípadoch môžu mať signifikantné zlepšenie „vlhkej“ formy makulopatie. Pred každou aplikáciou je potrebné sa podrobne poradiť s indikujúcim lekárom o prípadných nežiadúcich účinkoch.
 
Na záver 7 tipov pre pacientov s makulárnou degeneráciou:
 
  1. Užívajte látky so zvýšeným obsahom vitamínu C, A, E, vitamínov skupiny B, zinku, selénu, pigmentov luteínu a zeaxantínu, omega-3 mastných kyselín. Pigmenty luteín, zeaxantín sa nachádzajú v špenáte, keli, kukurici, omega-3 nenasýtené mastné kyseliny v morských rybách, rybom tuku, pečeni a podobne. Pokiaľ potrebné látky nevieme získať z potravín, alternatívou sú kvalitné medicínske doplnkové preparáty s potrebnými látkami.
  2. Pravidelne cvičte. (Nie je potrebná posilovňa, postačujú drobné cviky, ktoré výrazne zlepšia prekrvenie hlavne tkanív s nedostatočnou hemodynamikou).
  3. Kontrolujte si raz za mesiac videnie pomocou Amslerovej mriežky.
  4. Používajte kvalitné slnečné okuliare s plným UV filtrom (eventuálne filtrom na IR vlnenie). Nezabúdajte, že drahé okuliare neznamenajú automaticky kvalitné slnečné okuliare a naopak.
  5. Prestante okamžite fajčiť (fajčenie signifikantne zhoršuje prekrvenie oka a tým aj žltej škvrny. Objektívny stav prekrvenia Vášho oka je možné presne a bez bolesti zmerať pomocou špeciálneho ultrazvuku – Farebnej dopplerovskej ultrasonografie).
  6. Pravidelne navštevujte svojho odborného očného lekára. Nielen pre včasnú diagnostike a liečbu, ale aj v neskoršom štádiu predpis vhodnej optickej pomôcky).
  7. Zlepšite si komfort čítania:
    1. Používajte dostatočné osvetlenie, halogénové svetlo je lepšie než klasické žlté svetlo – neprodukuje toľko oslnenia a distribuuje svetlo rovnomerne. Šetriace žiarovky sú nevhodné u pacientov s makulopatiou.
    2. Snažte sa čítať text s väčšími písmenami.
    3. Pre zlepšenie komfortu používajte lupovú optiku. V súčasnosti je k dispozícii veľké množstvo kvalitnej lupovej techniky. Väčšinu pomôcok úplne, alebo čiastočne prepláca zdravotná, alebo sociálna poisťovňa.

 späť na začiatok

Glaukóm – Zelený zákal (Fotogaléria) 
(Keďže je o tomto ochorení popísané množstvo údajov na mnohých internetových stránkach, budú zaujímavosti o tomto očnom ochorení prezentované formou najčastejších otázok pacientov a odpovedí.)

Čo je to glaukóm:
Glaukóm je závažné ochorenie oka. Dochádza k nezvratnému poškodeniu zrakového nervu s následkom poškodenia zrakových funkcii a neskôr (bez adekvátnej liečby) aj k nezvratnej strate zraku.

Je pri glaukóme poškodené iba oko?
Glaukóm má aj celkové prejavy – zmeny v mozgovom tkanive (v bazálnych gangliách mozgu), zmeny na EKG zázname činnosti srdca. Podľa najnovších výskumov začína byť glaukomatózne ochorenie chápané ako neurodegeneratívne ochorenie.

V čom spočíva nebezpečie glaukómu:
Glaukóm je druhou najčastejšou príčinou slepoty vo vyspelých krajinách sveta. (Najčastejšou príčinou straty zraku je vekom podmienená degenerácia žltej škvrny). Pri glaukóme dochádza k nezvratnému poškodeniu buniek sietnice a to tak, že najskôr sa poškodia výbežky (axóny) týchto sietnicových (gangliových) buniek a neskôr odumierajú aj samotné gangliové bunky oka. Postupne ako odumierajú tieto bunky sa zhoršujú zrakové funkcie – zraková ostrosť, farbocit, kontrastné videnie, periférne videnie. Je potrebné si uvedomiť, že neliečený glaukóm môže viesť behom 5-15 rokov viesť k nezvratnému poškodeniu zrakového nervu s následkom ireverzibilnej (nezvratnej) straty zraku!

Čo spôsobuje odumieranie gangliových buniek?
Základným faktorom je zvýšený vnútroočný tlak. Podobne ako vo futbalovej lopte  aj v oku musí byť určitý tlak. Tlak udržiava tvar oka, zabezpečuje prietok krvi a rôzne iné funkcie. Ak je lopta prefúkaná, hrozí, že sa pri používaní poškodí. Naopak ak je nedofúkaná, nemá požadovaný tvar a nemôže plniť svoju funkciu. Obdobne je to aj s vnútroočným tlakom oka. Iba fyziologický vnútroočný tlak umožňuje správnu funkciu oka. Nadmerný očný tlak poškodzuje očné štruktúry, najmä zrakový nerv. Veľmi nízky vnútroočný tlak má tendenciu k zápalom oka a k ďalšiemu poškodeniu. Štatisticky je hodnota vnútroočného tlaku v rozmedzí 10-20 torr. Tak ako organizmus každého z nás je jedinečný tak aj oko každého z nás je rôzne citlivé na daný vnútroočný tlak. O tom ako je oko citlivé na daný vnútroočný tlak do určitej miery rozhodujú rizikové faktory.

Aké sú rizikové faktory pri glaukóme

  1. Základným faktorom je vnútroočný tlak. Vnútroočný tlak sa meria očným tonometrom. Pri niektorých ochoreniach (napr. ochorenie očí pri poškodení štítnej žľazy – tzv. Endokrinná orbitopatia, iné ochorenia očnice, respektíve niektoré mozgové ochorenia) je potrebné hodnotiť aj vnútroočnicový tlak. Ten je možné hodnotiť pomocou oftalmodynamometra.
  2. Druhým najdôležitejším rizikovým faktorom je prekrvenie zrakového nervu. Prekrvenie zrakového nervu môže spoľahlivo hodnotiť len pomocou farebnej dopplerovskej ultrasonografie. Zmeny prekrvenia zrakového nervu sú ovplyvnené najmä kolísavým krvným tlakom, hypertenziou, ale tiež sklonom ku hypotenzii, prítomnosťou cukrovky. Typicky rizikovou skupinou (pokiaľ sú aj iné patologické známky) sú ľudia so sklonom k vazospazmu – ľudia ktorí majú často studené končeky prstov na rukách a na nohách a meteosenzitívni ľudia.
  3. Rodinná záťaž – vzhľadom ku genetickému podkladu glaukómu majú vyššie riziko glaukomatózneho poškodenia ľudia, u ktorých sa už v rodine glaukomatózne ochorenie vyskytlo.
  4. Vek človeka. Aj keď sa glaukóm môže vyskytovať už od novorodeneckého veku, väčšinou sa vyskytuje u ľudí nad 40 rokov života. Z toho dôvodu sú potrebné preventívne prehliadky u očného lekára najmä u ľudí nad 40 rokov.
  5. Medzi ďalšie faktory patria rasa, pohlavie, optická chyba (ďalekozraké oko (+ dioptrie do diaľky) má väčšie riziko glaukomatózneho poškodenia s uzatvoreným uhlom, u krátkozrakého oka (- dioptrie) sa častejšie stretneme s glaukómom s otvoreným uhlom a s pigmentovým glaukómom) a lieky, ktoré pacient užíva – napríklad kortikoidné látky (pri astme, pri niektorých ochoreniach), chemoterapia, alebo rádioterapia.

 Ako sa prejavuje glaukóm?
Glaukóm sa vyskytuje v 2 základných formách (rozdelenie je výrazne zjednodušené pre ľahšie pochopenie problematiky glaukómu):

  •  Akútny – záchvatovitý typ glaukómu: človek nemá žiadne obtiaže, ani bolesti. V prípade záchvatu, vyprovokovaného kombináciou dlhšieho pobytu v tme, požitia väčšieho množstva tekutiny behom krátkej doby a výrazným stresom prudko stúpne vnútroočný tlak z fyziologickej hodnoty 14-20 torr. na 40-60 torr, poprípade viac. Pacient vidí rozmazano, keď sa pozerá na bodové svetlo, vidí okolo neho svetelný prstenec (tzv. irizácia) a pri opatrnom pohmate oka zistí, že oko je veľmi tvrdé oproti druhému oku. Takto výrazné zvýšenie vnútroočného tlaku spôsobí ukrutnú bolesť v oku a v danej polovici tváre, nezriedka spojenú s nevoľnosťou a vracaním. Preto niekedy sa pacient mylne domnieva, že má migrénu, ktorá po 1-2 dňoch po analgetikách ustúpi. Samozrejme iba málokedy je „migrenózna“ bolesť hlavy podmienená týmto typom glaukómu. Napriek tomu je potrebné, ak má niekto dlhodobo „migrény“ aby podrobil vyšetreniu u očného lekára.
  • Nezáchvatovitý typ – najčastejšie tzv. glaukóm s otvoreným uhlom. Ten je veľmi zákerný v tom, že človek nepociťuje žiadnu bolesť, ani vizuálne poruchy. Častými obtiažami ešte pred vypuknutím zrakových obtiaží, respektíve diagnostiky glaukómu sú občasné tlaky v očiach, zvýšená únava očí, slzenie a častejšia potreba zmeny okuliarovej korekcie. Jedinou možnosťou je preventívne vyšetrenie u svojho očného lekára. Bez kontinuálnej liečby sa začínajú poškodzovať jednotlivé zrakové funkcie ako kontrastné videnie, farbocit - porucha farbocitu sa prejavuje najskôr v modro-žlto/zelenom spektre a predchádza poškodenie v zornom poli až o 5 rokov). Tieto zmeny sú síce veľmi senzitívne ale vyskytujú sa aj pri iných ochoreniach oka a zrakového nervu. Neskôr (bez adekvátnej liečby) dochádza k zmenám v zornom poli človeka. Tieto zmeny sa diagnostikujú perimetrickým prístrojom. Záverom môže dôjsť k postupnému zhoršovania zrakovej ostrosti (t.j. pacient začína vidieť horšie bez možnosti okuliarovej korekcie).

Okrem toho sa môžeme stretnúť ďalšími približne 30 druhmi glaukomatózneho poškodenia.

Ako sa diagnostikuje glaukóm?
Medzi základné vyšetrenia pri podozrení na glaukóm u očného špecialistu patria:
- zmeranie vnútroočného tlaku očným tonometrom (kontaktná x nekontaktná metóda
- vyšetrenie očného pozadia so zameraním na zrakový nerv
- zhodnotenie zorného poľa. Vyšetrenie zorného poľa sa realizuje pomocou prístroja perimeter. Ten môže byť kinetický - mimoriadne dôležitý pri hodnotení poškodenia tzv. magnocelulárnych gangliových buniek oka, alebo statický perimeter, potrebný pre presné zhodnotenie funkčnosti tzv. parvocelulárnych gangliových buniek. Je niekoľko možností statického vyšetrenia: SAP (statická perimetria stimulov na bielom pozadí), SWAP (krátkovlnná automatická perimetria s využitím modrého svetelného podnetu na žltom pozadí.), FDP (Frequency-doubling technology perimetry), HPRP (High-pass resolution perimetry), FP (Flicker perimetry).

Medzi ďalšie vyšetrenia v špecializovaných očných ambulanciách patria:

  • Farbocit – vyšetrenie farebnými tabuľkami, prístrojovou technikou.
  • Kontrastné vyšetrenie – špeciálnou prístrojovou technikou.
  • Farebná dopplerovská ultrasonografia – jediná metodika, ktoré umožní bezbolestne a relevantne zhodnotiť hemodynamické faktory (prekrvenie ) zrakového nervu.
  • V prípade niektorých ochorení (napr. endokrinná orbitopatia pri poškodení štítnej žľazy, iné ochorenia očnice, niektoré mozgové ochorenia) Oftalmodynamometrické vyšetrenie. Týmto vyšetrením sa hodnotí vnútroočnicový tlak a nepriamo vnútrolebečný tlak. Výhradne oftalmodynamometrické vyšetrenie nám umožní pri vyššie uvedených chorobách exaktne zhodnotiť potrebu liečby vnútroočného tlaku.
  • Elektrofyziologické vyšetrenie:  elektroretinografia (oscilačné potenciály, PERG)
  • Vyšetrenia s morfologickou analýzou zrakového nervu.

Medzi špičkové a v poslednej dobe nenahraditeľné vyšetrenia patria vyšetrovacie metódy, ktoré mimoriadne presne hodnotia morfologické zmeny v zrakovom nerve a vo vrstvách sietnice. V súčasnosti je základnou požiadavkou diagnostiky glaukómu detekovať zmeny na mikroskopickej úrovni. To znamená zistiť možný vznik glaukómu, kým ešte nie sú vizuálne straty. To umožňujú vyšetrovacie prístroje:

  • Digitálna fotoanalýza zrakového nervu (vrátane vyšetrenia v bezčervenom svetle a stereoskopických snímkov digitálnych, resp. foto)
  • HRT - I.-II-III. = Heidelberg retina tomograf: (Fotogaléria)
    • zrakový nerv je ako koaxiálny kábel, tvorený z miliónov nervových vlákien, ktoré sú špecificky v zrakovom nerve uložené. Každé toto vlákno prenáša nejaký vizuálny vnem. Pri glaukóme tieto vlákna sa poškodzujú a odumierajú – bez možnosti náhrady. Pokiaľ je úbytok týchto vlákien malý – vizuálne funkcie sú minimálne ohrozené. Ak je úbytok vlákien vo veľkom rozsahu, človek začína mať zrakové obtiaže. Cieľom a trendom dnešnej medicíny je diagnostikovať tieto zmeny čo možno najskôr. Veľmi včasné štádia glaukómu je možné detekovať pomocou laserového prístroja HRT (Heidelberský retinálny tomograf).
    • HRT umožňuje nebolestivé a pritom precízne vyšetrenie zrakového nervu pri glaukóme a iných ochoreniach zrakového nervu, umožňuje zhodnotenie objemu nervových vlákien zrakového nervu. Vďaka sofistikovanému softwéru je možné presne hodnotiť progresiu zmien zrakového nervu, alebo poukázať na stacionárny nález. Prístroj umožní 3-rozmerne zobraziť terč zrakového nervu aj s patologickými zmenami.  (Fotogaléria)
  • OCT = optická koherentná tomografia (vhodná najmä na vyšetrenie žltej škvrny)
  • GDx = analyzátor nervových vlákien (umožňuje zhodnotiť hrúbku nervových vlákien zrakového nervu)
  • Pachymetria - meranie hrúbky rohovky

Mám zvýšený vnútroočný tlak, ale glaukóm nemám, je to možné?
Výška vnútroočného tlaku nie je vždy adekvátna prítomnosti glaukómu. Sú prípady, kedy má človek vnútroočný tlak 26 torr., niekedy aj viac a napriek tomu nemá klinické známky glaukómu – takýto stav sa nazýva Okulárna hypertenzia. Naopak v niektorých prípadoch je vnútroočný tlak „v norme“ a napriek tomu má pacient známky glaukómu so všetkými rizikami – takýto stav sa nazýva „Nízkotenzný (normotenzný) glaukóm“. Preto je pri podozrení na glaukóm potrebné realizovať opakované meranie vnútroočného tlaku a tieto doplniť ďalšími vyšetreniami, ktoré buď potvrdia, alebo vylúčia poškodenie zrakového nervu. Keďže v týchto prípadoch býva často výrazne zhoršené prekrvenie zrakového nervu, je veľmi dôležité tento problém zhodnotiť pomocou špeciálneho dopplerovského ultrazvuku (Kapitola Možnosti vyšetrenia – Ultrazvukové vyšetrenie). Na základe týchto vyšetrení je potom možné stanoviť adekvátnu liečbu.

Aké sú možnosti liečiť glaukóm?
- V zásade je možné glaukóm liečiť:

  • konzervatívne- očnými kvapkami. Pokiaľ táto liečba nie je dostatočne účinná očný lekár musí pristúpiť k ďalším terapeutickým možnostiam:
  • laserovou liečbou
  • operačným zákrokom

- Pre správne nastavenie liečby je potrebné si uvedomiť čo je potrebné upraviť pri glaukóme: Je predovšetkým:

  • zníženie (úprava) vnútroočného tlaku
  • stabilizácia (úprava) krvného toku v zrakovom nerve
  • znížiť tzv. oxidatívny stres. Oxidatívnym stresom rozumieme metabolický faktor, ktorý významne zhoršuje stratu a poškodenie funkcie gangliových buniek.
  • Okrem klasickej a nevyhnutnej terapie pomocou špeciálnych antiglaukomatóznych kvapiek je vhodné dopĺňať terapiu bežným telesným cvičením a látkami, ktoré ovplyvňujú vyššie spomínané rizikové faktory. Patria sem: Ginko biloba (významne znižuje oxidatívny stres buniek), čučoriedky, čaj, tmavá čokoláda (ktorá obsahuje aj vazoprotektívne látky), v rozumnej miere aj káva, ktoré majú schopnosť znižovať oxidatívny stres buniek.
  • Liečba glaukómu býva väčšinou celoživotná, je potrebné aby sa dodržiavala pravidelnosť v aplikácii očných kvapiek a kontrol o očného lekára. Je obzvlášť dôležité vedieť, že glaukóm sa dá vo väčšine prípadov sa dá glaukóm veľmi dobre kompenzovať a pri včasnej diagnostike nemá újmu na zrakových funkciách.

Čo môžem ja urobiť pre zlepšenie liečby glaukómu?
Glaukóm je ochorenie, ktoré musí byť kompenzované farmaceuticky. Avšak pacient si môže pomáhať elimináciou niektorých rizikových faktorov (pokiaľ je to možné). Najdôležitejšie okrem kompenzácie vnútroočného tlaku je zlepšiť prekrvenie zrakového nervu. To je možné docieliť úpravou krvného tlaku, pravidelným telesným cvičením (denne postačuje pár drepov, rýchla chôdza, jednoduché cviky s rukami – zovretie a roztvorenie prstov na rukách a nohách, občasné pomasírovanie zatvorených očí cez mihalnice a podobne), doplnkovou liečbou  - viď vyššie.

späť na začiatok

 

Videnie je komplexný dej – rozoznávanie predmetov, ich tvar, veľkosť, farba, kontrast a pohyblivosť oproti okoliu, vzájomnú polohu predmetov, priestorové videnie, adaptáciu na svetlu, alebo tmu a v neposlednom rade uvedomenie si, čo vlastne vidíme. Pre priestorové videnie je potrebný pohľad dvoma očami, ktoré snímajú obraz z rozdielnych uhlov. Ak je zrakový systém v poriadku vidíme obraz pred nami ako jeden obraz. Ak vidíme obraz zdvojený – vzniká dvojité videnie – diplopia. Dvojité videnie je veľmi závažná porucha, ktorá takmer vždy znamená závažné poškodenie zrakového systému, alebo mozgu. Aj diagnostika a určenie príčiny diplopie patria k najťažšej diagnostike v oblasti neurooftalmológie. 
V zásade príčiny diplopie môžeme rozdeliť do 3 skupín.
  1. optické poruchy,
  2. motorické poruchy,
  3. senzorické poruchy. 
  1. Optické poruchy predstavujú zákaly optických médii (rohovky, šošovky, sklovci) akejkoľvek príčiny, dlhodobé padnutie hornej mihalnice. Optické poruchy vyvolávajú tzv. monokulárnu diplopiu – dvojité videnie je aj jedným okom – diametrálny rozdiel oproti binokulárnej diplopii, ktorá je spôsobená nasledujúcim príčinami.
  2. Motorické poruchy predstavujú poruchy okohybných svalov. Každé oko je fixované v očnici 6 svalmi, ktoré zároveň umožňujú presný pohyb oka tým smerom, ktoré chceme. Príčiny môžu byť lokálne – v očnici: vrodené chyby, traumy, zápaly, nádory svalov. Zvláštnosťou je tzv. prechodné dvojité videnie, kedy pacient niekedy vidí dvojito, inokedy opäť fyziologicky. Patrí sem najmä myasténia okulárna, alebo celková gravis. Obidve formy sa po exaktných vyšetreniach dajú relatívne spoľahlivo korigovať medikamentózne. Medzi celkové príčiny patria poškodenia nervov, ktoré inervujú okohybné svaly. Medzi tieto príčiny zaraďujeme mozgové nádory, infarkty, aneuryzmy ciev (výdute cievnej steny), infekcie, alebo úrazy.
  3. Senzorické poruchy sú poškodenia senzorického tkaniva (sietnica, zrakový nerv, mozgové zrakové centrá) akejkoľvek príčiny.
 Pre diagnostiku je nevyhnutné špecializované neurooftalmologické vyšetrenie, ktorého súčasťou sú aj vyšetrenia neurologické, ultrazvukové, komputerová tomografie / nukleárna magnetická rezonancia mozgu, podľa potreby elektrofyziologické, nystagmografické, elektromyografické vyšetrenie.
Dvojité videnie môže byť niekedy imitované tzv. pseudostrabizmom – t.j. stav, kedy navonok sa zdá, že človek má neprávne postavenie očí, ale v skutočnosti diplopiu nemá. Pseudostrabizmus môže spôsobiť výrazná mongoloidná riasa, ktorá prekrýva vnútorný kútik oka. Dojem strabizmu vzniká aj vtedy, keď sú oči príliš od seba vzdialené, alebo naopak, ak sú veľmi blízko. Ďalšou príčinou je väčší uhol gama.
Niekedy pacienti udávajú navonok bizarný problém trojitého/štvoritého videnia. Tieto obtiaže je potrebné takisto veľmi vážne, lebo okrem nezávažnej príčiny – suchého oka, tieto obtiaže môžu byť spôsobené poškodením žltej škvrny – makuly, alebo začínajúcim poškodením mozgu, respektíve psychickou poruchou.

Liečba dvojitého videnia je komplexná a závisí na príčine. Liečebné spektrum zahrňuje od špeciálnych prizmatických okuliarov, cez lokálnu terapiu, tabletkovú liečbu až po operačný zákrok.

späť na začiatok


Ďalšie informácie


V rámci Centra neuro-oftalmológie môžete využiť tiež:
Zaradenie

Očné ambulancie
, Typ: Ambulancia
Nachádza sa v zariadení

Centrum pre neuro-oftalmológiu
Ďalších ambulancií: 3

Pokračovať na: Personál a vybavenie


Vytlačiť

Lekári

  • Doc. MUDr. Jozef Čmelo PhD, MPH.

Typ


Neštátna

Poisťovňa


DÔVERA ZP [24]
VšZP [25]
Union ZP [27]

Ostatné


Parkovanie
Bezbariérový prístup

Jazyk


anglický
ruský

Pokračovať na: Hodnotenia


5

Hodnotilo 9 používateľov

5 Hviezdičiek

4 Hviezdičiky

3 Hviezdičiky

2 Hviezdičiky

1 Hviezdička 

  • (5)
- pred 1 rokom (Recenzia doposiaľ nebola overená poskytovateľom služieb)

  • (5)
- pred 2 rokmi (Recenzia doposiaľ nebola overená poskytovateľom služieb)

  • (5)
- pred 2 rokmi (Recenzia doposiaľ nebola overená poskytovateľom služieb)

1

  • (5)
- pred 2 rokmi (Recenzia doposiaľ nebola overená poskytovateľom služieb)

Očný lekár na vysokej odbornej úrovni s výnimočne ľudským prístupom, plný porozumenia k pacientovi. Veľmi príjemné sú aj sestričky a prostredie. Odporúčam.

  • (5)
nisipo - pred 4 rokmi (Recenzia doposiaľ nebola overená poskytovateľom služieb)

Vynikajúca očná - oftalmologická ambulancia v Bratislave. Profesionálny personál, pán docent je skutočná kapacita, má ľudský prístup, vie vysvetliť, poradiť. "Patient the first"! - také jednanie sa tu dostane pacientovi. Jednak od pána docenta, ale aj od ostatného personálu. Plus kultivované spôsoby a priestory. Priam neverím, že som na Slovensku, takto by malo všade vyzerať slovenské zdravotníctvo pre poistencov VšZP.

  • (5)
Soňa Čermáková - pred 6 rokov (Recenzia doposiaľ nebola overená poskytovateľom služieb)

  • (5)
Erika Lattova - pred 6 rokov (Recenzia doposiaľ nebola overená poskytovateľom služieb)

Lekár, ktorý vás príjemne prekvapí profesionálnym aj ľudským prístupom. Je to jeden z mála lekárov, ktorý na prvom mieste kladie zdravotný stav pacienta na vedomie. Funguje premyslene a rešpektuje názor pacienta. Je škoda, že v súčasnosti existuje len málo takýchto lekárov. Príjemná atmosféra sanitky prispieva len k celkovému pohodliu vyšetrenia.

  • (5)
Marek Hlina - pred 6 rokov (Recenzia doposiaľ nebola overená poskytovateľom služieb)

sikovne a uctive dievcata / sestry...lekar - stara skola / tip top, A1...zatial dakujem za vysetrenie!!!

  • (5)
Maroš Ševčík - pred 9 rokov (Recenzia doposiaľ nebola overená poskytovateľom služieb)

Veľmi dobrá očná - oftalmologická ambulancia v Ba. Profesionálny personál, pán docent je skutočná kapacita a má ľudský prístup. Takto by malo všade vyzerať slovenské zdravotníctvo pre poistencov VšZP.

Pridať recenziu:

Pred pridaním recenzie Vám odporúčame sa prihlásiť / registrovať, aby ste boli notifikovaný, ak Vám lekár/zariadenie odpovie