• Domov
  • Zoznam
  • Ordinácie
    • Zameranie:

    • Zubné ambulancie - stomatologické (2063)
    • Všeobecný lekár - dospelí (1826)
    • Všeobecný lekár - deti a dorast (973)
    • Gynekologické ambulancie (713)
    • Interné ambulancie (418)
    • Neurologické ambulancie (385)
    • Chirurgické ambulancie (372)
    • Očné ambulancie (344)
    • Fyziatria, balneológia a liečebná rehabilitácia (351)
    • Psychologické ambulancie (329)
    • Ostatné (5000+)
  • Mapa
  • Články
  • Poradňa
  • Diskusie
  • Prihlásenie
Filter
Zobraziť výsledky () >
  • Domov
  • Články

Články (14492)


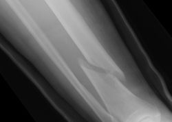
Nová liečba zlomenín Liečba ochorení

Nová liečba zlomenín

Pokroky vo vede sa odrážajú v každej oblasti medicíny. Najmarkantnejšie je to vidieť pri vývine nových molekúl a liekov.

Čítať viac
Pri poľskej soli nie je dôvod na paniku, väčšina soli u nás je z Rakúska Ostatné

Pri poľskej soli nie je dôvod na paniku, väčšina soli u nás je z Rakúska

Ministerstvo pôdohospodárstva a rozvoja vidieka (MPRV) SR dnes ubezpečilo, že v súvislosti s medializovanými informáciami ohľadom poľskej soli nie je na Slovensku dôvod na paniku

Čítať viac
ANS odmieta návrh nových zmlúv od Union ZP, s Dôverou sa asi dohodne Ostatné

ANS odmieta návrh nových zmlúv od Union ZP, s Dôverou sa asi dohodne

Asociácia nemocníc Slovenska (ANS), ktorá združuje desiatky regionálnych nemocníc, odmieta návrh súkromnej Union zdravotnej poisťovne na úpravu zmluvných podmienok od apríla

Čítať viac
Projekt Dni zdravých žíl sa tento rok v SR uskutoční od 13. do 30. marca Liečba ochorení

Projekt Dni zdravých žíl sa tento rok v SR uskutoční od 13. do 30. marca

Bolesť, pocit ťažkých nôh, opuchy - to sú na prvý pohľad banálne a neraz ignorované ťažkosti, ktoré pociťujú pacienti v súvislosti s rozvíjajúcim sa chronickým žilovým ochorením (CHVO-chronické venózne ochorenie), ktoré trápi takmer 60 percent slovenskej populácie

Čítať viac
Lieky by sa mali rýchlejšie dostávať na trhy EÚ Liečba ochorení

Lieky by sa mali rýchlejšie dostávať na trhy EÚ

Európska komisia (EK) dnes navrhla zracionalizovať a skrátiť vnútroštátne rozhodovanie o stanovovaní cien liekov a výšky úhrad

Čítať viac
Špičkové chirurgické postele NsP v Ilave nepotrebuje a ani nemá na ich zaplatenie Ostatné

Špičkové chirurgické postele NsP v Ilave nepotrebuje a ani nemá na ich zaplatenie

Bývalé vedenie neziskovej organizácie Nemocnica s poliklinikou v Ilave si ešte v roku 2010 objednalo 22 špeciálnych trojpolohovateľných postelí na chirurgické oddelenie

Čítať viac
Jednu zákrokovú sálu banskobystrickej Fakultnej nemocnice vyhradili pre operácie s robotom da Vinci Ostatné

Jednu zákrokovú sálu banskobystrickej Fakultnej nemocnice vyhradili pre operácie s robotom da Vinci

Nové zákrokové sály a tiež novozriadené oddelenie robotickej chirurgie otvorili dnes v poliklinike banskobystrickej Fakultnej nemocnice s poliklinikou (FNsP) F.D. Roosevelta

Čítať viac
Riaditeľovi nemocnice v Považskej Bystrici predĺžili poverenie o šesť mesiacov Ostatné

Riaditeľovi nemocnice v Považskej Bystrici predĺžili poverenie o šesť mesiacov

Trenčiansky samosprávny kraj (TSK) poveril riaditeľa Nemocnice s poliklinikou v Považskej Bystrici Petra Rendeka výkonom funkcie na ďalších šesť mesiacov

Čítať viac
Dôvera navrhla nemocniciam aj ambulanciám zvýšenie cien, aké zatiaľ tají Ostatné

Dôvera navrhla nemocniciam aj ambulanciám zvýšenie cien, aké zatiaľ tají

Zdravotná poisťovňa Dôvera sa dnes dohodla s Asociáciou nemocníc Slovenska (ANS) aj so Zdravitou na tom, že rokovania o nových zmluvách budú pokračovať

Čítať viac
Nadmerné potenie - príčiny a možnosti liečby Chudnutie a Pohyb

Nadmerné potenie - príčiny a možnosti liečby

Pot je produkovaný 2 typmi potných žliaz. Žľazy vyprodukujú denne asi 1 liter tekutín, no v extrémnych podmienkach sa jej množstvo môže pohybovať až okolo 3 litrov za hodinu

Čítať viac
  • ‹
  • 1
  • 2
  • ...
  • 264
  • ...
  • 1449
  • 1450
  • ›

Kategórie

  • Chudnutie a Pohyb
  • Liečba ochorení
  • Ostatné
  • Relax
  • Zdravie a krása
  • Životný štýl
  • Zvieratá

Recepty

  • Bezlaktózové
  • Bezlepkové
  • Exotické
  • Mäsité
  • Ostatné
  • Raw food
  • Ryby
  • Sladké
  • Vegetariánske
  • Zdravá desiata

Máme pre Vás informácie o viac ako 15.000 zdravotníckych zariadeniach.
Vyhľadajte si ordinačné hodiny ambulancií, otváracie hodiny lekární, pohotovosti, články a ďalšie dôležité informácie pre pacientov na najnavštevovanejšom zdravotníckom portáli na Slovensku (1.000.000 návštev mesačne.)

Ostatné

  • O nás
  • Reklama na zzz.sk
  • Mapa zariadení
  • Podmienky používania
  • Kontakt
  • Ochrana osobných údajov
  • + Pridať zariadenie
  • Prihlásenie

Prevádzkovateľ portálu

  • Amazing Deals, s. r. o.
  • IČO: 53817613,
    DIČ: 2121527100
  • info@zzz.sk

Amazing Deals, s. r. o. © 2005 - 2025 Všetky práva vyhradené.

  • Podmienky používania